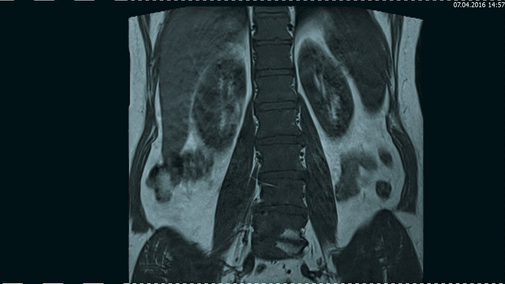
Tumoröse Veränderungen: Polyzythämia vera
Extramedulläres hämatopoetisches Gewebe mit Ausdehnung im Spinalkanal und Kompression des Myelon ist selten. Im Fall der extramedullären Hämatopoese bei Patienten mit Polyzythämia vera kann eine frühe Diagnosestellung eine sehr gute Prognose geben. Die klinische Symptomatik, Kenntnis der Erkrankung und der bildgebenden Aspekte sind wichtig für die Diagnose. Die MRT ist die bildgebende Methode für die Primärdiagnostik der extra-medullären Hämatopoese.
DOI:10.3238/MTADIALOG.2016.0620
Dann nutzen Sie jetzt unser Probe-Abonnement mit 3 Ausgaben zum Kennenlernpreis von € 19,90.
Jetzt Abonnent werden
