Was verursacht Symptome der periventrikulären Heterotopie?
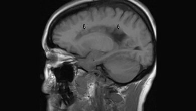
Warum sind die fehlgeleiteten Nervenzellen im Gehirn überaktiv und führen zu Entwicklungsstörungen? Wenn Nervenzellen während der Gehirnentwicklung nicht an den richtigen Ort wandern, kommt es zur sogenannten periventrikulären Heterotopie, die gut im MRT erkennbar ist. Dies ist eine Erkrankung, die oft mit medikamentenresistenten Anfällen und Lernschwierigkeiten einhergeht. Ein internationales Team um Professorin Silvia Cappello, Forschungsgruppenleiterin am Biomedizinischen Centrum der LMU und Mitglied im Exzellenzcluster SyNergy, hat nun die Eigenschaften dieser fehlplatzierten Nervenzellen untersucht und eine Erklärung für ihre Hyperaktivität gefunden.
3D-Mini-Gehirnmodell genutzt
Die Forschenden züchteten aus Stammzellen von Patientinnen und Patienten mit periventrikulärer Heterotopie ein dreidimensionales Mini-Gehirnmodell, ein sogenanntes zerebrales Organoid, und untersuchten die Funktionsweise des neuronalen Netzwerks im Organoid. Dabei stellen sie fest, dass betroffene Nervenzellen leichter erregbar sind und eine größere elektrische Aktivität zeigen. Besonders Mutationen in einem bestimmten Gen (DCHS1) senkten die Reizschwelle dieser Nervenzellen. Zusätzlich zeigte sich, dass diese Nervenzellen eine komplexere Morphologie und veränderte synaptische Verbindungen zu ihren Nachbarn haben. Das könnte erklären, warum sie überaktiv sind. Es wurden somit Beweise dafür geliefert, dass bestimmte Genmutationen sowohl allgemeine als auch spezifische molekulare und zelluläre Veränderungen verursachen können, die gemeinsam zur klinischen Ausprägung von periventrikulärer Heterotopie beitragen. Dies stehe im Einklang mit der Annahme, dass die Krankheit das Ergebnis einer Fehlregulation verschiedener molekularer Signalwege ist. Die Forschenden konnten die Überaktivität mittels des antiepileptischen Wirkstoffs Lamotrigin rückgängig machen. „Unsere Ergebnisse ermöglichen neue Einblicke, wie die Vernetzung des Gehirns gestört wird“, sagt Cappello. „Sie könnten dazu beitragen, einige der mit der Erkrankung assoziierten neurologischen Beeinträchtigungen zu erklären und langfristig neue Behandlungsansätze für betroffene Menschen eröffnen.“
Quelle: idw/LMU
Artikel teilen




