Zufallsbefunde: Arnold-Chiari-Malformation
Zusammenfassung
Die angeborenen Malformationen der hinteren Schädelgrube können in zwei Gruppen eingeteilt werden: Fehlbildungen des Rhombenzephalon einschließlich des Hirnstamms und Fehlanlagen der eigentlichen Schädelgrube. Die Chiari Malformation Typ I mit Syringomyelie kann mit Kopf- und Nackenschmerzen, Gefühlsstörungen und Schwäche der oberen und auch der unteren Extremität einhergehen. Die Fehlbildung ist nicht zwingend mit einer Skoliose der Wirbelsäule vergesellschaftet. Die beste Therapieoption bei ACM-1 ist die hintere Fossadekompression mit Duraplastik.
Schlüsselwörter: CT, MRT, Wirbelsäule, Arnold-Chiari
Abstract
The most common posterior fossa congenital anomalies can divide into two groups: hindbrain malformations and cranial vault malformations. Chiari Malformation Type I complicated with syringomyelia can cause occipital headache and nuchal pain, numbness and muscular weakness of upper and lower limbs. The malformation is not independently associated with scoliosis. Posterior fossa decompression with duraplasty is the best treatment option for Chiari-1 malformations because symptomatic improvement and less chances of
complications.
Keywords: CT, MRI, Spine, Arnold-Chiari
Eine Einteilung von Cotes et al. (2) beschreibt zwei Gruppen der posterobasalen Schädelanomalien (Tabelle 1).
Tabelle 1: Einteilung der posterobasalen kongenitalen Schädelanomalien, modifiziert nach Cotes et al. (2)

Zu diesen kongenitalen Fehlbildungen gehören auch die Arnold-Chiari-Malformationen (ACM).

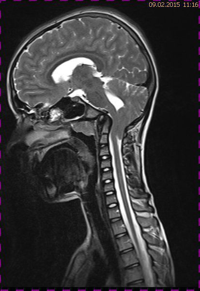
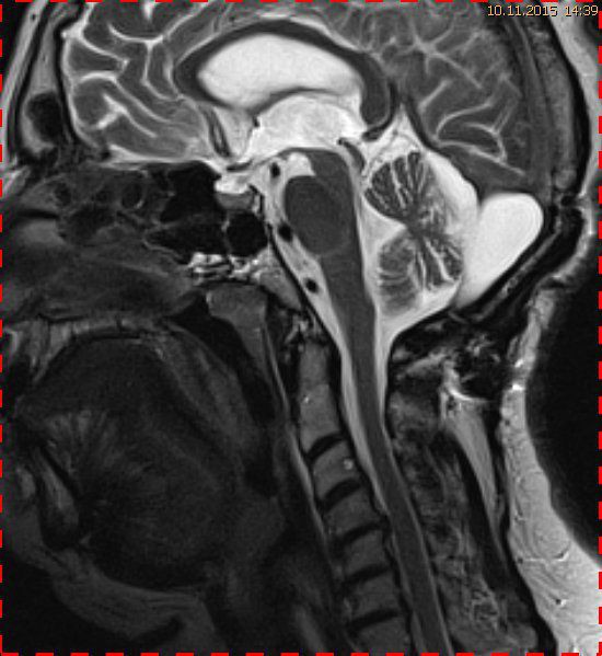
Abb. 1.2 Sagittales MRT (T2 TSE, 1 T): Streckfehlhaltung der HWS und oberen BWS, kein Frakturhinweis oder posttraumatische Myelopathie; die Kleinhirntonsillen reichen bis in das Foramen magnum

Abb. 1.3 Sagittales MRT (T2 TIRM): kein Hinweis auf mikrotrabekuläre Frakturen, regelrecht hydrierte Bandscheiben; die Kleinhirntonsillen lassen sich schlechter abgrenzen

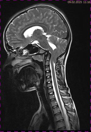
Abb. 2.1 Sagittales MRT (T2 TSE, 1,5 T): bei unveränderter Streckfehlhaltung der HWS 2 Monate nach der Erstuntersuchung Progredienz des Tonsillentiefstands, Syringomyelie

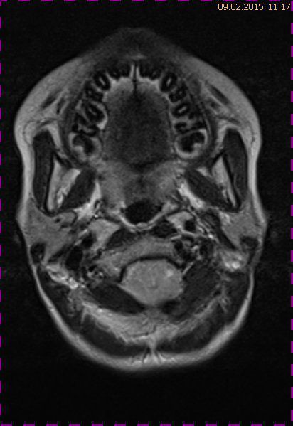
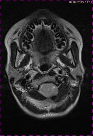
Abb. 2.2 MRT (T2 TSE transversal): obliteriertes Foramen magnum
Klinisch kann die Arnold-Chiari-I-Malformation inklusive einer Syringomyelie mit Spannungskopf- und Nackenschmerzen, Parästhesien und motorischer Schwäche der oberen und seltener der unteren Extremitäten einhergehen (3, 5). Auch Schwindel, Sehstörungen, Hirnnervenausfälle und respiratorische Probleme einschließlich Aspirationen oder Apnoe- attacken können auftreten. Bei progredienten Symptomen ist die neurochirurgische Therapie mit Dekompression des Foramen magnum angezeigt (6, 8). Zahlreiche Patienten weisen auch eine Skoliose auf, die jedoch nicht zwingend mit ACM einhergehen müssen (10). Fällt allerdings bei Röntgenaufnahmen eine breite Spina-bifida-Deformität auf, kann es als Hinweis auf eine Meningomyelozele im Zusammenhang mit einer ACM bewertet werden (7). Eine große Studie von Smith et al. (9) mit 1.310 Patienten zeigte, dass kein Zusammenhang zwischen Tiefstand der Kleinhirntonsillen und dem Body-Mass-Index besteht. Allerdings kann exzessives Gähnen ein Hinweis auf eine Arnold-Chiari-Malformation sein (11). Bei dieser auffälligen klinischen Symptomatik müssen Demyelinisierungen des Gehirns, Tumoren und Hirnstammischämien ausgeschlossen werden.
Im vorgestellten Fall war im Verlauf eine Komplikation mit progedienter Dislokation der Kleinhirntonsillen nach Schädelkontusion mit Stauchung der Halswirbelsäule aufgetreten bei einer bislang nicht bekannten Arnold-Chiari-Malformation Typ I. Diese Fehlbildung kann zu unterschiedlichen zerebralen und spinalen Veränderungen führen, je nach Typ mit unterschiedlicher Schwere der anatomischen Veränderungen und resultierenden neurologischen Symptome. In Tabelle 2 sind die unterschiedlichen Typen des Arnold-Chiari differenziert (1).
Tabelle 2: Typen der Arnold-Chiari-Malformation (nach 1, 3, 4, 7)

Computertomographische Untersuchungen haben in der Diagnostik der Arnold-Chiari-Malformationen an Bedeutung verloren. Eine Rolle spielt dabei der geringere Weichteilkontrast der CT als in der MRT und bei den meist jüngeren Patienten auch die Strahlenexposition, die es mit alternativen bildgebenden Verfahren zu vermeiden gilt (4). Auch die Sonographie kann als Untersuchungsverfahren eingesetzt werden. Das Hirngewebe im Neugeborenen- und Kindesalter ist sehr strahlensensibel. Lediglich bei der Beurteilung knöcherner Deformitäten hat die MS-CT mit multiplanarer Rekonstruktion noch ihren Stellenwert.

Abb. 3.1 T2 TSE sagittal: progrediente intraspinale Tonsillendislokation mit nachweisbarem Ödem des Zervikalmarks in Höhe von HWK 2

Abb. 3.2 T2 TIRM: das intramedulläre Ödem wird durch die Tonsillenkompression reproduzierbar dargestellt, betonter Zentralkanal des Halsmarks

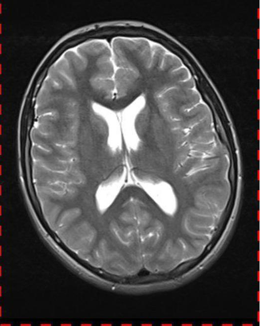
Abb. 3.3 T2 TSE transversal: keine intraventrikuläre Drucksteigerung, keine Zeichen einer Liquordiapedese

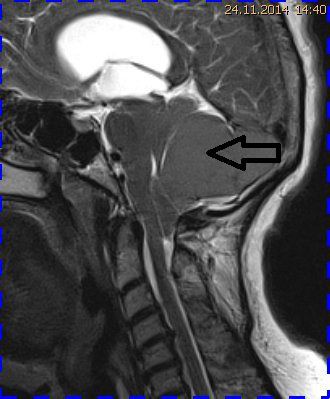
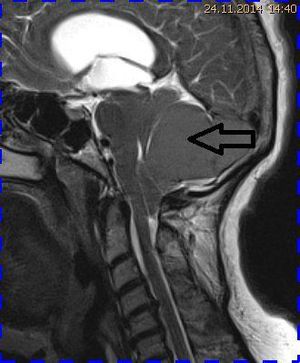
Abb. 4.1 MRT (T2 TSE, 1,5 T) sagittal: Kompression des Kleinhirns durch ein großes Tentoriummeningeom (Pfeil) mit Verlagerung der Tonsillen in das Foramen magnum

Abb. 4.2 MRT (T2 TSE, 1,5 T) sagittal: Kontrolle nach 1 Jahr, Ausschluss Tumorrezidiv, normale Position der Kleinhirntonsillen

Abb. 4.3 MRT (T2 TSE, 1,5 T) sagittal: postoperativer infratentorieller Substanzdefekt nach Entfernung des Meningeoms und nuchale Suszeptibilitätsartefakte; Retraktion der Tonsillen in die hintere Schädelgrube
Die kernspintomographische Untersuchung ist heute das dominierende bildgebende Verfahren in der Diagnostik neuropädiatrischer Erkrankungen bzw. Malformationen. Der Nachweis der ACM ist bereits mit der fetalen MRT möglich (3). Auch in der Differenzialdiagnose anderer Fehlbildungen der hinteren Schädelgrube (Tabelle 3) liefert sie die besten Ergebnisse.
Tabelle 3: Diff erenzialdiagnosen der Arnold-Chiari-I-Malformation (nach 3)

Fallbeispiele
Das Fallbeispiel 1 zeigt im Verlauf eine Komplikation bei einer Arnold-Chiari-Malformation Typ 1 bei einem zum Zeitpunkt der Erstdiagnose 12-jährigen Jungen. Dieser hatte im Sportunterricht einen schweren Medizinball geköpft und ein Stauchungs-trauma der Halswirbelsäule erlitten. Nach anfänglich symptomatischer frustraner Therapie wurde er vom behandelnden Orthopäden zur MRT der HWS überwiesen. Es wurde eine Streckfehlhaltung und flachbogig rechtskonvexe Skoliose diagnostiziert, klinisch bestand ein Torticollis. Eine knöcherne oder ligamentäre Verletzung wie auch eine Schädigung des Rückenmarks bzw. eine intraspinale Bandscheibendislokation konnten bildmorphologisch ausgeschlossen werden.
Trotz weiterer Schmerz- und Physiotherapie konnte keine Beschwerdereduktion erreicht werden. 2 Monate später erfolgte eine MRT des Kopfes zum Ausschluss einer posttraumatischen Veränderung.
Bei dieser Untersuchung wurde übersehen, dass die Kleinhirntonsillen in das Foramen magnum disloziert waren und eine Arnold-Chiari-Malformation mit Erweiterung des 4. Ventrikels und des Aquäduktes inklusive Kleinhirntonsillentiefstand vorlag. Bei zwischenzeitlich auswärtig erfolgtem CT der HWS wurde eine Anlagestörung im kraniozervikalen Übergang beschrieben. Eine Kontrolluntersuchung des Kopfes weitere 4 Monate später dokumentierte neben einem medullären Ödem einen progredienten Tonsillentiefstand, der zur neurochirurgischen Behandlung mit operativer Erweiterung des Foramen magnum führte.
Natürlich kann eine Dislokation der Kleinhirntonsillen in das Foramen magnum auch andere Ursachen haben, wie das Fallbeispiel 2 zeigt (Abb. 4.1 bis 4.3). Eine 57-jährige Patientin hatte ein monströses Tentoriummeningeom entwickelt, das zu einer Verlagerung der Kleinhirntonsillen nach kaudal führte. Die postoperativen Verlaufskontrollen zeigten die Repositionierung der Tonsillen in der hinteren Schädelgrube.
Kurz und bündig
■ Die Arnold-Chiari-Malformation ist eine kongenitale neuropädiatrische Erkrankung.
■ Medulla oblongata und oberes Halsmark sind verformt, kaudal verlagert und dorsomedial gespalten.
■ Hydrozephalus, Meningomyelozele, Hydromyelie und andere Missbildungen können vorkommen. 3 Typen der ACM werden unterschieden.
■ Die Kernspintomographie ist die bildgebende Methode der Wahl, um eine Arnold-Chiari-Malformation zu diagnostizieren und zu typisieren. Sie kann bereits als fetale MRT durchgeführt werden.
■ Es sind verschiedene andere Malformationen der hinteren Schädelgrube zu differenzieren.
Literatur
1. Burgener, F. A., Meyers, S. P., Tan, R. K., Zaunbauer, W.: Differenzialdiagnostik in der MRT. Georg Thieme Verlag Stuttgart, New York: 275–276 (2002)
2. Cotes C, Bonfante E, Lazor J, Jadhav S, Caldas M, Swischuk L, Riascos R. Congenital basis of posterior fossa anomalies. Neuroradiol J. 2015 Jun;28(3):238–53.
3. Ertl-Wagner B, Koerte I. Fehlbildungen der hinteren Schädelgrube. Radiologie up2date 1, 2012: 74–85.
4. Grumme T, Kluge W, Kretzschmar K, Roesler A: Zerebrale und spinale Computertomographie. 3., vollständig neu bearbeitete und erweiterte Auflage. Blackwell Wissenschafts-Verlag Berlin, Wien: 71–74 (1998).
5. Kadoya T, Takenaka I, Kinoshita Y, Shiraishi M, Uehara H, Yamamoto T, Joyashiki T. Monitoring of Somatosensory Evoked Potentials during Foramen Magnum Decompression of Chiari Malformation Type I Complicated with Syringomyelia: A Report of Two Cases. Masui. 2015 Mar;64(3):313–7.
6. Kennedy BC, Kelly KM, Phan MQ, Bruce SS, McDowell MM, Anderson RC, Feldstein NA. Outcomes after suboccipital decompression without dural opening in children with Chiari malformation Type I. J Neurosurg Pediatr. 2015 Aug;16(2): 150–8.
7. Kuhn MJ. Atlas der Neuroradiologie. Chapman&Hall GmbH, Weinheim: 147(1994).
8. Rehman L, Akbar H, Bokhari I, Babar AK, M Hashim AS, Arain SH. Posterior fossa decompression with duraplasty in Chiari-1 malformations. J Coll Physicians Surg Pak. 2015 Apr;25(4):254–8.
9. Smith BW, Strahle J, Kazarian E, Muraszko KM, Garton HJ, Maher CO. Impact of body mass index on cerebellar tonsil position in healthy subjects and patients with Chiari malformation. J Neurosurg. 2015 Jul;123(1):226–31.
10. Strahle J, Smith BW, Martinez M, Bapuraj JR, Muraszko KM, Garton HJ, Maher CO. The association between Chiari malformation Type I, spinal syrinx, and scoliosis. J Neurosurg Pediatr. 2015 Jun;15(6):607–11.
11. Zebian B, Hogg FR, Fu RZ, Sivakumaran R, Stapleton S. Yawning as a presenting symptom of Chiari malformation Type I: report of 2 cases. J Neurosurg Pediatr. 2015 Jun;15(6):612–4.
Der Autor:
Dr. med. Hans-Joachim Thiel
MedienServiceMedizin
73102 Birenbach, Kirchlesfeld 21
Der Autor ist Facharzt für Radiologie. Nach dreijähriger Tätigkeit als Oberarzt hat er sich Mitte der 1990er Jahre in Göppingen niedergelassen. Seine Haupttätigkeit sind CT, MRT und Interventionen. Darüber hinaus ist er Verfasser zahlreicher Fachpublikationen.
Entnommen aus MTA Dialog 4/2016
Dann nutzen Sie jetzt unser Probe-Abonnement mit 3 Ausgaben zum Kennenlernpreis von € 19,90.
Jetzt Abonnent werden
