Premium
Bildgebende Verfahren
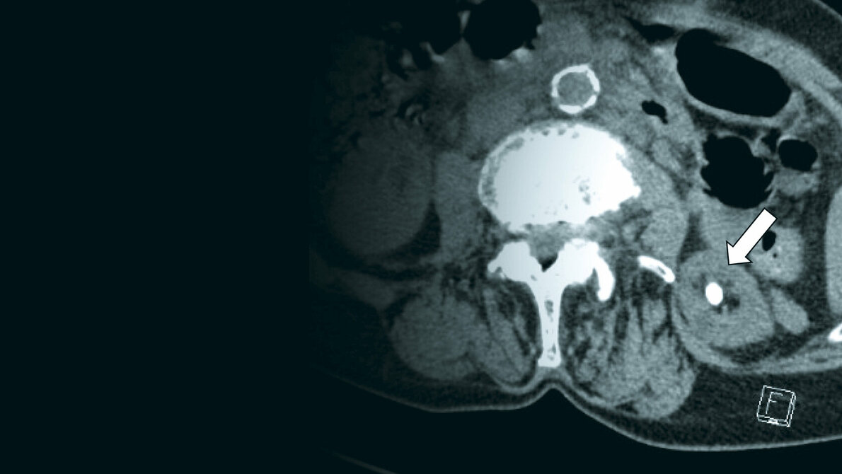
Zufallsbefunde: Nephrolithiasis
Schnittbilddiagnostik der Wirbelsäule (7.33)
Die bildgebenden Verfahren spielen eine bedeutende Rolle in der Diagnostik, der Therapie und dem Follow-up von Patienten mit Nierensteinen. Mehrere Untersuchungsmethoden stehen zur Verfügung.
Zusammenfassung
Die Nephrolithiasis ist eine komplexe Erkrankung. Verschiedene bildgebende Verfahren der Diagnostik und chirurgische Methoden in der Behandlung stehen zur Verfügung.
DOI: 10.3238/MTADIALOG.2017.0226
Entnommen aus MTA Dialog 3/2017
Sie möchten die Zeitschrift abonnieren und auf alle Inhalte zugreifen?
Dann nutzen Sie jetzt unser Probe-Abonnement mit 3 Ausgaben zum Kennenlernpreis von € 19,90.
Jetzt Abonnent werden
