Anomalien und Normvarianten – Interne Veränderungen 2.18: Maldescensus testis
Zusammenfassung
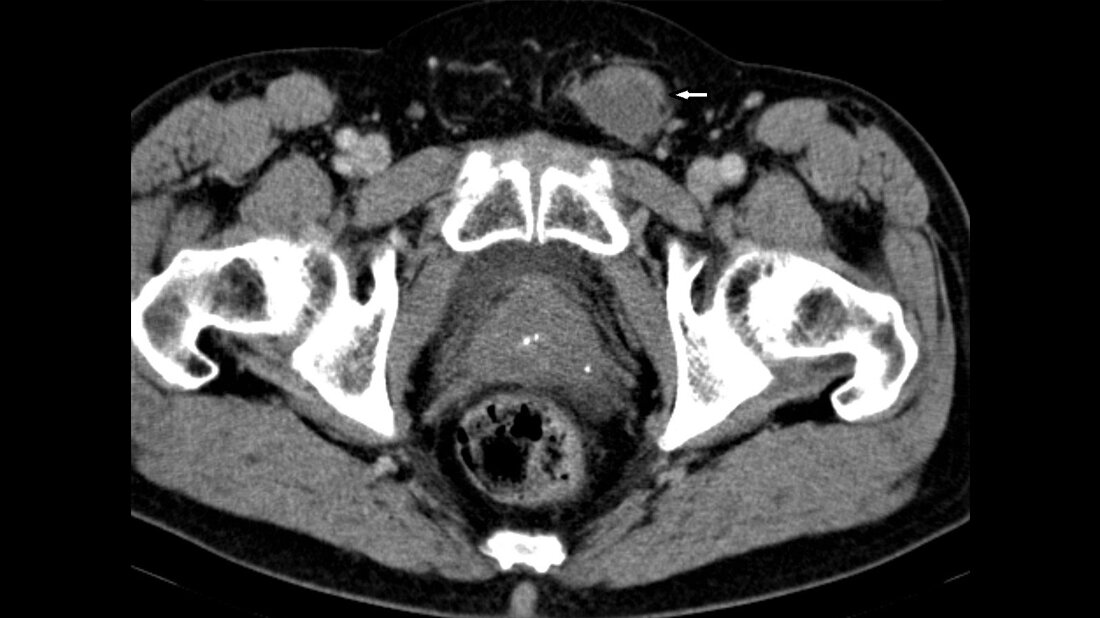
Der Maldescensus testis ist die häufigste genitale Malformation der Jungen und hat ein erhöhtes Risiko der Infertilität und malignen Entartung. Die Therapie mit humanem Choriongonadotropin ist oft erfolgreich, sonst die operative Behandlung mit Orchiopexie.
Schlüsselwörter: Maldescensus testis, Röntgen, Sonografie, CT, MRT
Abstract
The undescended testicle is the most common genital malformation in boys. Maldescensus testis has an increased risk of infertility and cancer. Therapy with human choriongonadotropin is often successful, otherwise operative treatment is indicated with orchiopexy.
Keywords: Maldescensus testis, X-ray, ultrasound, CT, MRI
DOI: 10.53180/MTIMDIALOG.2023.0412
Entnommen aus MT im Dialog 6/2023
Dann nutzen Sie jetzt unser Probe-Abonnement mit 3 Ausgaben zum Kennenlernpreis von € 19,90.
Jetzt Abonnent werden






