Anomalien und Normvarianten – Interne Veränderungen 2.23: interne vaskuläre Malformationen
Zusammenfassung
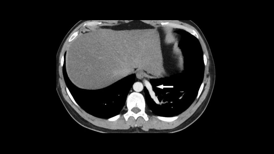
Intrahepatische portosystemische venöse Shunts sind seltene vaskuläre Malformationen. Sie können intra- und extrahepatisch vorkommen, asymptomatisch sein oder verschiedene Symptome aufweisen einschließlich einer Enzephalopathie. Kinder mit hereditärer Teleangiektasie sollten wegen des erhöhten Risikos der Entwicklung vaskulärer Malformationen, vorrangig in der nasalen Mukosa, der Lungen und des Gastrointestinaltrakts, kontrolliert werden.
Schlüsselwörter: Pulmonale arteriovenöse Fistel, intrahepatischer portosystemischer venöser Shunt, Röntgen, CT, MRT
Abstract
Intrahepatic portosystemic venous shunts are rare vascular malformations. They may be intra- or extrahepatic, can be asymptomatic or present with various symptoms including encephalopathy. Because of the risk of developing vascular malformations children with hereditary telangiectasia should have regular medical check-ups. The most frequent locations being the nasal mucosa, the lungs and the gastrointestinal tract.
Keywords: Pulmonary arteriovenous fistula, intrahepatic portosystemic venous shunt, x-ray, CT, MRI
DOI: 10.53180/MTIMDIALOG.2024.0192
Entnommen aus MT im Dialog 3/2024
Dann nutzen Sie jetzt unser Probe-Abonnement mit 3 Ausgaben zum Kennenlernpreis von € 19,90.
Jetzt Abonnent werden






