Anomalien und Normvarianten – Skelettale Veränderungen 3.13
Zusammenfassung
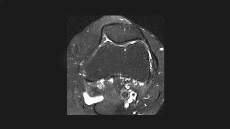
Die Patelladysplasie ist eine mögliche Anomalie des femoropatellaren Gelenks, die mit oder ohne Symptomatik vorkommen kann. Veränderungen des femoropatellaren Kongruenzwinkels korrelieren mit der patellaren Instabilität. Die Symptomatik, klinischen Merkmale und bildgebenden Verfahren haben eine große Breite an möglichen Ursachen und Möglichkeiten.
Schlüsselwörter: Röntgen, CT, MRT, Patelladysplasie
Abstract
Dysplasia of the patella is one of the femoropatellar joint disease with or without symptoms. Changes of the femoropatellar congruence angle correlate with the presence of patellar instability. The symptoms, clinical features and imaging modalities have a large variety of causes and possibilities.
Keywords: X-ray, CT, MRI, patella dysplasia
DOI: 10.3238/MTADIALOG.2020.0462
Entnommen aus MTA Dialog 6/2020
Dann nutzen Sie jetzt unser Probe-Abonnement mit 3 Ausgaben zum Kennenlernpreis von € 19,90.
Jetzt Abonnent werden





