Anomalien und Normvarianten – Zerebrale Malformation 1.7: Heterotopie
Zusammenfassung
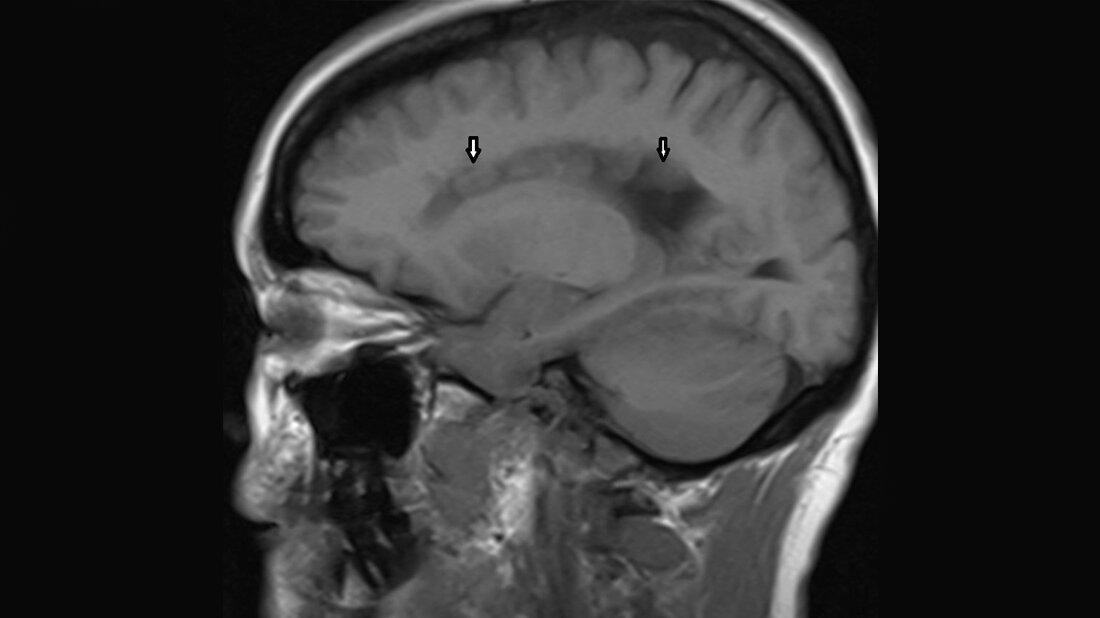
Die Heterotopie ist die am häufigsten vorkommende Anomalie der kortikalen Entwicklung. Die Migrationsstörungen führen klinisch oft zu epileptischen Anfällen, die psychomotorische Entwicklung der subependymalen Heterotopie ist normal. Es werden 3 unterschiedliche Formen unterschieden.
Schlüsselwörter: Heterotopie des Gehirns, MRT
Abstract
Heterotopia is the most frequently occuring anomaly affecting cortical development. Neuronal migration disorders often clinically characterized by epileptic seizures as well as normal psychomotor development in many cases of subependymal type. There are three different types.
Keywords: brain heterotopia, MRI
DOI: 10.53180/MTADIALOG.2022.0722
Entnommen aus MTA Dialog 9/2022
Dann nutzen Sie jetzt unser Probe-Abonnement mit 3 Ausgaben zum Kennenlernpreis von € 19,90.
Jetzt Abonnent werden






