Auch nichtmaligne Erkrankungen oder reaktive Einflüsse können durch zytologische Abnormitäten in den diagnostischen Fokus geraten (vgl. MTA Dialog, Dysplastische Veränderungen der Hämatopoese, Teil 1, 10/2020). In diesem Beitrag geht es speziell um die Veränderungen der granulozytären Zellen. Dazu werden in einer Übersicht die häufigsten Dysplasiezeichen granulozytärer Zellen grafisch dargestellt, beschrieben und ihre möglichen Ursachen aufgezeigt.
Die Dysplasiezeichen granulozytärer Zellen sind vielfältig. Der morphologischen Veränderung liegt in der Regel eine Bildungsstörung der Granulopoese zugrunde (= Dysgranulopoese). Teilweise geht die Dysplasie mit Neutropenie einher. Dieses betrifft häufig MDS (50 %), kann aber auch reaktiv auftreten. Auch eine Neutrophilenvermehrung ist möglich und charakteristisch für die MDS/MPN-overlap-Syndrome wie CMML.
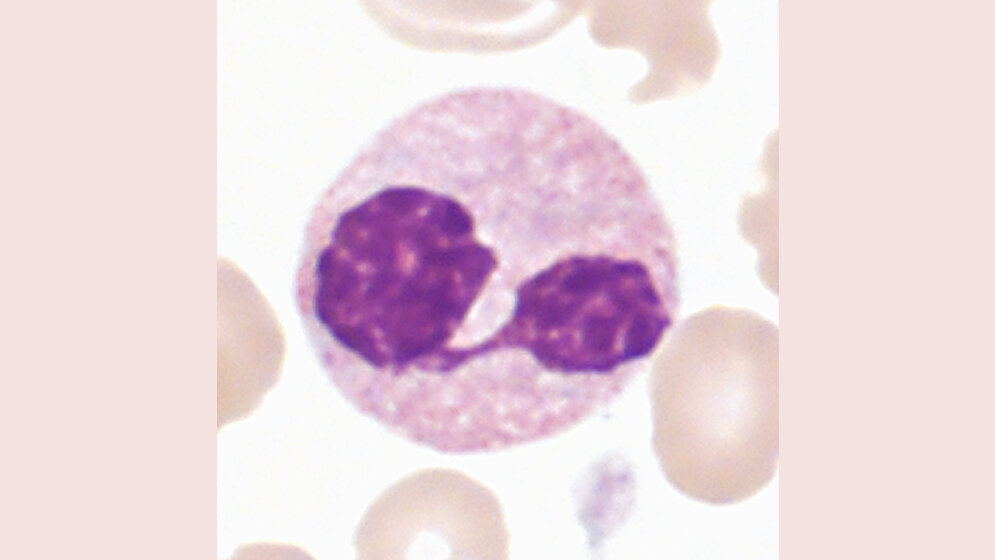
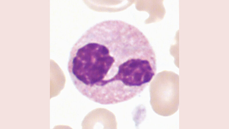
Dysplasiezeichen können den Kern, die Zellgröße, die Zellreifung und auch die Granulation betreffen. Häufig sind Segmentierungsstörungen der Kerne wie Hyposegmentierungen, zum Beispiel Pseudo-Pelger-Formen und rundkernige Granulozyten nachweisbar. Auch Hypersegmentierungen kommen vor. Es können sowohl Riesenformen, die oftmals mit Reifungsstörungen einhergehen, als auch zu kleine Vertreter mit unproportionaler Kerngröße auftreten. Was die Granulation betrifft, kann sich diese abgeschwächt als Hypogranulation oder fehlend (= Agranulation) darstellen. Die Granulation kann aber auch verstärkt sein (= Hypergranulation).
DOI: 10.3238/MTADIALOG.2021.0024
Entnommen aus MTA Dialog 1/2021
Dann nutzen Sie jetzt unser Probe-Abonnement mit 3 Ausgaben zum Kennenlernpreis von € 19,90.
Jetzt Abonnent werden

