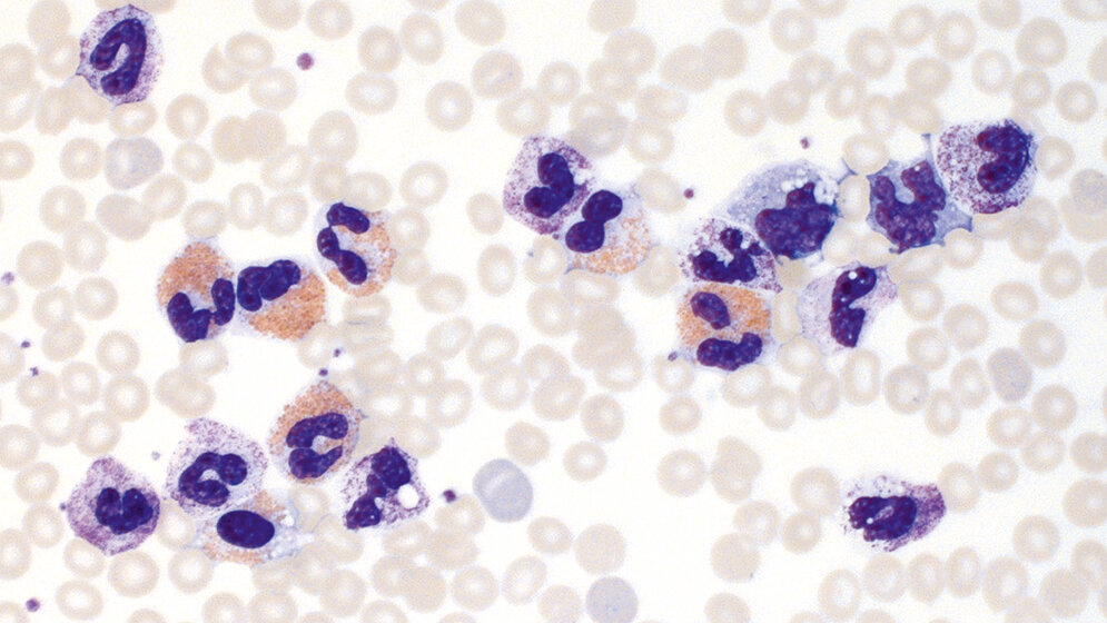
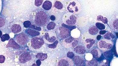
Im Falle eines erhöhten Zellbedarfs, zum Beispiel bei Infekten, kann eine vermehrte Zytokinproduktion zum einen die Zellteilungsrate der Myeloblasten erhöhen sowie zum anderen die Reifungsdauer der Granulopoese, die normalerweise 6–10 Tage dauert, reduzieren. Somit gelangen die reifen Granulozyten früher in das periphere Blut als unter physiologischen Bedingungen. Praktisch bedeutet das einen Anstieg der granulozytären Zellen im Blut, was als Neutrophilie bezeichnet wird. Außerdem werden durch den Einfluss der Zytokine auch die unreifen Vorstufen vom Knochenmark in das periphere Blut ausgeschwemmt, mit der Folge, dass im Blut eine sogenannte Linksverschiebung der granulozytären Zellen mit Vorkommen von Vorstufen auftritt. Zytologisch erkennbar sind neben der Neutrophilie und der Linksverschiebung außerdem eine toxische Granulation u/o. Döhle-Körperchen als Zeichen der überstürzten Neubildung sowie die häufig begleitend auftretenden zytoplasmatischen Vakuolisierungen als Ausdruck einer metabolischen Aktivierung.
DOI: 10.3238/MTADIALOG.2018.0380
Entnommen aus MTA Dialog 5/2018
Dann nutzen Sie jetzt unser Probe-Abonnement mit 3 Ausgaben zum Kennenlernpreis von € 19,90.
Jetzt Abonnent werden

