Zusammenfassung
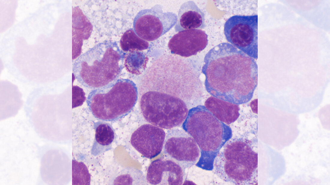
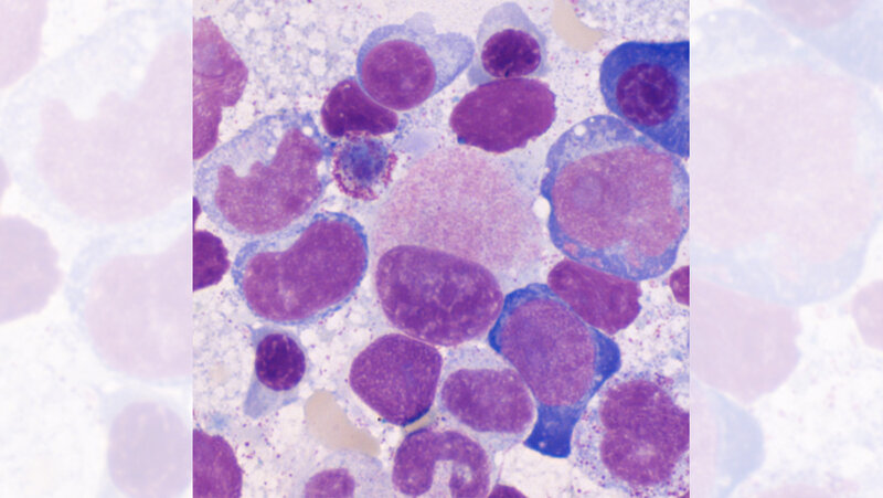
Myelodysplastische Syndrome mit einem erhöhten Anteil an Blasten werden nach WHO 2016 als MDS with excess of blasts (MDS-EB) eingestuft. Sie zeigen einen prognostisch ungünstigeren Verlauf gegenüber solchen mit nicht erhöhter Blastenzahl. Je mehr Blasten, desto größer das Risiko für den Übergang in eine akute myeloische Leukämie (AML). Daher werden MDS-EB weiter unterteilt in MDS-EB-1 und MDS-EB-2. Erstere weisen 2–4 % Blasten im Blut (pB) oder 5–9 % im Knochenmark (KM) auf, während MDS-EB-2 5–19 % Blasten in pB oder 10–19 % im KM zeigen. Ab 20 % Blasten im pB oder KM liegt eine AML vor. Auerstäbchen haben eine besondere Bedeutung bei der Einteilung der MDS. Der Nachweis ist gleichbedeutend mit einem MDS-EB-2. Bei der klinisch bedeutsamen MDS-Risikoabschätzung nach IPSS-R (International prognostic scoring System – Revised) erfolgt die prognostische Bewertung der MDS über ein Stufensystem unter anderem anhand der Blastenzahl. In der WHO-Klassifikation 2022 der MDS werden die MDS-EB in MDS-IB (MDS with increased blasts) umbenannt. Die Werte für die Blastenanteile der Subtypen-1 und -2 bleiben aber gleich.
Schlüsselwörter: Myelodysplastische Syndrome, WHO-Klassifikation 2016/2022, IPSS-R, MDS-EB/IB, Auerstäbchen
Abstract
According to WHO 2016, myelodysplastic syndromes with an increased proportion of blasts are classified as MDS with excess blasts (MDS-EB). They show a prognostically unfavorable outcome compared to those with not elevated blast numbers. The higher the blast count, the greater the risk of developing an acute myeloid leukemia (AML). So MDS-EB are further divided into MDS-EB-1 and MDS-EB-2. The former show 2–4 % blasts in blood (pB) or 5–9 % in bone marrow (BM), while MDS-EB-2 show 5–19 % blasts in pB or 10–19 % in BM. AML is given in case of blasts ≥ 20 % in pB or KM. Auer rods have a special meaning in the classification of MDS. Their presence is equivalent to an MDS-EB-2. In the clinically significant MDS risk assessment according to IPSS-R (International Prognostic Scoring – Revised System), the prognostic assessment of MDS is based on a tiered system, including the number of blast cells. In the WHO classification of MDS 2022, the MDS-EB are renamed MDS-IB (MDS with increased blasts). However, the values for the blast fractions of subtypes -1 and -2 remain the same.
Keywords: Myelodysplastic syndromes, WHO-classification 2016/2022, IPSS-R, MDS-EB/IB, auer rods
DOI: 10.53180/MTIMDIALOG.2023.0022
Entnommen aus MT im Dialog 1/2023
Dann nutzen Sie jetzt unser Probe-Abonnement mit 3 Ausgaben zum Kennenlernpreis von € 19,90.
Jetzt Abonnent werden


