Neuer Test auf Long COVID?

Blutgefäße im Auge verändert
lz
Long COVID Diagnostik
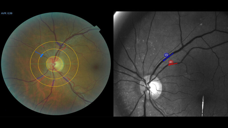
Bei einer Augenuntersuchung können der Durchmesser kleinster Blutgefäße (links) und die Erweiterung der Gefäße als Reaktion auf Lichtimpulse (rechts) gemessen werden. Beide sind bei Menschen mit Long COVID verändert. © Abteilung für Nephrologie / TUM
Newsletter­anmeldung

Bleiben Sie auf dem Laufenden. Der MT-Dialog-Newsletter informiert Sie jede Woche kostenfrei über die wichtigsten Branchen-News, aktuelle Themen und die neusten Stellenangebote.

Formularfelder Newsletteranmeldung

* Pflichtfeld

In Zukunft könnte eine standardisierte Augenuntersuchung verraten, ob Menschen unter dem Long-COVID-Syndrom beziehungsweise Post COVID leiden.

Nach wie vor sorgt das Phänomen Long/Post COVID für viele Fragezeichen. Immerhin gehen Schätzungen davon aus, dass zwischen zehn und 35 Prozent der Betroffenen auch lange nach einer Corona-Erkrankung an Symptomen wie Atemproblemen oder Erschöpfung (Fatigue) u.v.m. leiden. Bislang sind kaum körperlichen Merkmale, sogenannte Biomarker, bekannt, anhand derer sich eine Long-COVID-Erkrankung sicher diagnostizieren lässt. Eines der Merkmale von COVID-19 sind Veränderungen der Blutgefäße. Betroffen ist hier insbesondere das Endothel, die Gefäßinnenwand. Durch die Veränderungen werden Organe nicht ausreichend mit Blut versorgt.

Auge als Hinweisgeber?

Bislang wurden vor allem große Blutgefäße erforscht. „90 Prozent der Endothelzellen des Körpers befinden sich aber in kleinen und kleinsten Äderchen. Was mit diesen Blutgefäßen bei Long COVID geschieht, ist kaum bekannt“, sagt Studienleiter Prof. Christoph Schmaderer, Geschäftsführender Oberarzt in der Abteilung für Nephrologie des Klinikums rechts der Isar, Universitätsklinikum der TUM. „Blutgefäße im Auge könnten einen Hinweis auf den Zustand der kleinen Blutgefäße im gesamten Körper bieten“, sagt Schmaderer. Sie seien für Untersuchungen leicht zugänglich, die notwendigen Verfahren und Geräte sind erprobt und erfordern keinen Eingriff in den Körper.

Eindeutige Veränderungen bei Long COVID

Besonders zwei Werte zeigten einen starken Zusammenhang mit Long-COVID-Erkrankungen: Zum einen seien Arteriolen, also kleinste Arterien, im Vergleich zur gesunden Kontrollgruppe deutlich verengt gewesen. Zum anderen hätten Venolen – nicht aber die Arteriolen – eine veränderte Reaktion auf Lichtreize gezeigt. Leuchtet man mit einem flackernden Licht ins Auge, erweitern sich die Blutgefäße. Bei Patientinnen und Patienten mit Long COVID sei diese Reaktion deutlich verringert gewesen. Je mehr Entzündungsmarker im Blut der Studienteilnehmerinnen und -teilnehmer gemessen wurden, desto ausgeprägter seien die Veränderungen gewesen. Anhaltende Entzündungsreaktionen sind Studien zufolge vermutlich ein weiterer wichtiger Faktor für Long COVID.

Noch eine sehr kleine Studie

Da die Studie mit 41 teilnehmenden Erkrankten vergleichsweise klein gewesen sei und nur in einer einzelnen Klinik durchgeführt worden sei, lasse sich aus den Ergebnissen noch kein zuverlässiger Test auf Long COVID ableiten. Aus Sicht der Forscherinnen und Forscher sind weitere Studien notwendig, um die Ergebnisse zu verifizieren. „Ich bin zuversichtlich, dass auf Grundlage unserer Ergebnisse ein Werkzeug entwickelt werden kann, um Long COVID sicher zu diagnostizieren“, sagt Schmaderer. „Wir gehen zudem davon aus, dass die Mikrozirkulation nicht nur im Auge, sondern auch in anderen Teilen des Körpers eingeschränkt ist. Dadurch könnte die Methode insbesondere dafür geeignet sein, um die Wirksamkeit zukünftiger Therapien für Long COVID zu beurteilen.“

Zusammenfassung:

  • Ein Team der Technischen Universität München (TUM) konnte einen deutlichen Zusammenhang zwischen Long COVID und bestimmten Veränderungen der Äderchen im Auge zeigen.
  • Zum einen seien Arteriolen im Vergleich zur gesunden Kontrollgruppe deutlich verengt gewesen. Zum anderen hätten Venolen – nicht aber die Arteriolen – eine veränderte Reaktion auf Lichtreize gezeigt.
  • Je mehr Entzündungsmarker im Blut der Studienteilnehmerinnen und -teilnehmer gemessen wurden, desto ausgeprägter seien die Veränderungen gewesen.

 

Literatur:
Kuchler T, Günthner R, Ribeiro A, et al.: Persistent endothelial dysfunction in post-COVID-19 syndrome and its associations with symptom severity and chronic inflammation. Angiogenesis (2023), DOI: 10.1007/s10456-023-09885-6.

Quelle: TUM

Artikel teilen

Online-Angebot der MT im Dialog

Um das Online-Angebot der MT im Dialog uneingeschränkt nutzen zu können, müssen Sie sich einmalig mit Ihrer DVTA-Mitglieds- oder Abonnentennummer registrieren.

Stellen- und Rubrikenmarkt

Möchten Sie eine Anzeige in der MT im Dialog schalten?

Stellenmarkt
Industrieanzeige