Der Aufbau von Geweben und Organen ist eine der komplexesten und wichtigsten Aufgaben, die Zellen während der Embryonalentwicklung bewältigen. Bei dieser kollektiven Aufgabe verständigen sie sich durch unterschiedliche Kommunikationsmethoden, darunter biochemische Signale – ähnlich dem Geruchssinn einer Zelle – und mechanische Hinweise – der Tastsinn der Zelle. Zellkommunikation fasziniert seit Jahrzehnten Forschende auf verschiedenen Gebieten. Professor Otger Campàs konnte mit den Kolleginnen und Kollegen des Exzellenzclusters Physics of Life (PoL) an der Technischen Universität Dresden und der University of California Santa Barbara (UCSB) nun ein weiteres Rätsel um die Frage lösen, wie die Zellen ihren Tastsinn nutzen, um während der Embryogenese lebenswichtige Entscheidungen zu treffen. Ihr Paper wird nun in der Fachzeitschrift Nature Materials veröffentlicht.
Zellen testen die Umgebung
In dieser Arbeit berichten die Forschenden, wie Zellen in einem lebenden Embryo ihre Umgebung mechanisch testen und welche mechanischen Parameter und Strukturen sie wahrnehmen. „Wir wissen viel darüber, wie Zellen in einer Petrischale mechanische Reize wahrnehmen und darauf reagieren. Nun interessiert uns, wie Zellen dies in einem Embryo tun, wo ihre Mikroumgebung ganz anders ist“, sagt Campàs, der ebenfalls Professurinhaber für Gewebedynamik und PoL-Geschäftsführer ist.
Es sind mechanische Sensoren, die den Zellen helfen, wichtige Entscheidungen zu treffen – etwa, ob sie sich teilen, bewegen oder sogar differenzieren sollen. Bei diesen Prozessen wandeln sich Stammzellen in spezialisierte Zellen, die bestimmte Funktionen ausüben. Ausschlaggebend für die Entdeckung des Teams um Campàs war die Feststellung, dass Stammzellen, die auf einem synthetischen Untergrund platziert wurden, sich bei ihren Entscheidungen stark auf mechanische Hinweise verlassen: Zellen auf Oberflächen, deren Steifigkeit der von Knochen ähnelte, wurden zu Osteoblasten (Knochenzellen), während Zellen auf Oberflächen, deren Steifigkeit der von Hirngewebe ähnelte, zu Neuronen wurden. Diese Erkenntnisse haben die Gewebezüchtung erheblich vorangebracht. Forschende nutzten die mechanischen Anhaltspunkte, um synthetische Gerüste zu schaffen, welche die Stammzellen veranlassen, sich gezielt zu entwickeln. Solche Gerüste werden heute in einer Vielzahl von biomedizinischen Anwendungen eingesetzt.
Wie Zellen sich im Embryo vorantasten
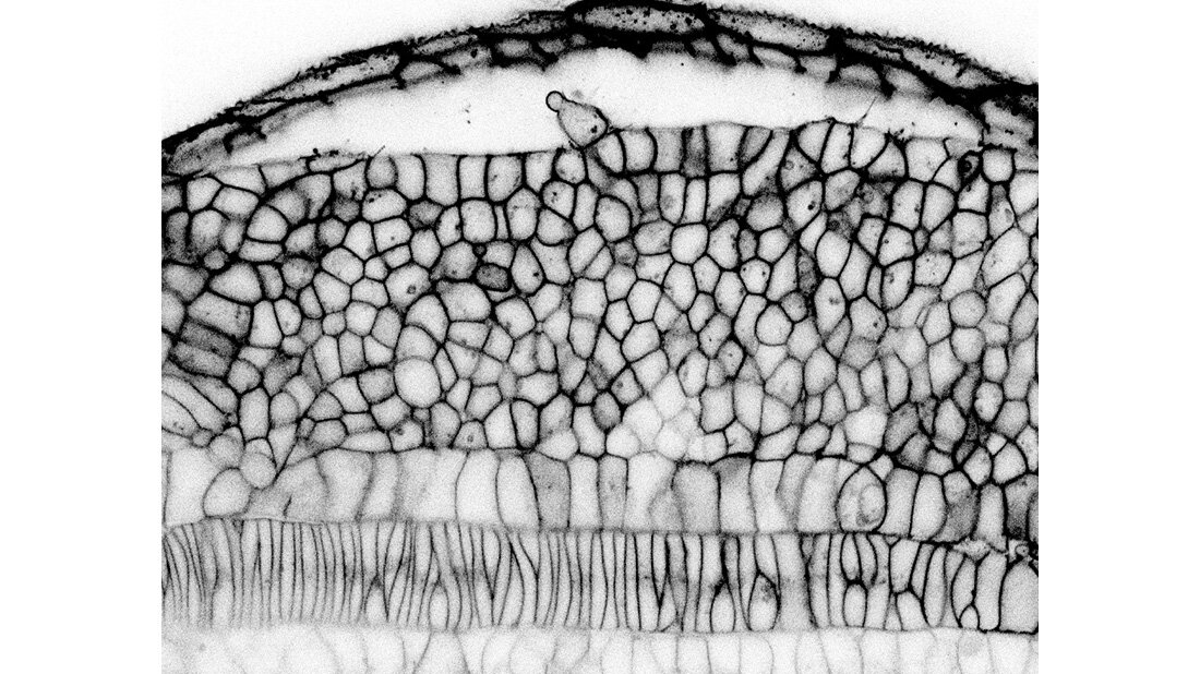
Allerdings ist eine Schale nicht der natürliche Lebensraum der Zellen. Während sie einen Organismus aufbauen, werden Zellen weder von Gerüsten noch dreidimensionalem Druck determiniert. Campàs hat mit dem PoL-Team und den Kolleg:innen der UCSB die mechanischen Hinweise in Erfahrung gebracht, an denen die Zellen im komplexen Gewebe eines Embryos orientieren. Mit Hilfe einer einzigartigen Technik, die in Campàs‘ Labor entwickelt wurde, entdeckten sie, welche physikalischen Größen die Zellen bei ihrer Entscheidung, was sie werden wollen, wahrnehmen. „Wir haben zunächst untersucht, wie Zellen ihre Mikroumgebung mechanisch testen, während sie sich differenzieren und die Körperachse eines Wirbeltiers aufbauen“, so Campàs. „Die Zellen benutzen verschiedene Ausstülpungen, um auf ihre Umgebung zu drücken und an ihr zu ziehen. Wir haben also gemessen, wie schnell und stark sie schieben.“ Mit Hilfe eines ferromagnetischen Öltröpfchens, das sie zwischen die sich entwickelnden Zellen einführten und einem kontrollierten Magnetfeld aussetzten, konnten sie diese winzigen Kräfte nachahmen und die mechanische Reaktion der Zellumgebung messen.
Zellen nehmen Gewebearten wahr
Entscheidend für die Aktionen dieser embryonalen Zellen ist ihr kollektiver physikalischer Zustand, den Campàs und seine Forschungsgruppe in einer früheren Arbeit als aktiven Schaum beschrieben haben, ähnlich der Konsistenz von Seifenlauge oder Bierschaum, wobei die Zellen durch Zelladhäsion und gegenseitiges Ziehen aneinander verklumpen. Campàs und sein Team fanden heraus, dass die Zellen mechanisch den kollektiven Zustand dieses „lebenden Schaums“ untersuchen - wie steif er ist und wie eng die Ansammlung ist. „Genau in dem Moment, in dem sich Zellen differenzieren und beschließen, ihr Schicksal zu ändern, ändern sich die Materialeigenschaften des Gewebes, das sie wahrnehmen“, so Campàs. Ihm zufolge nimmt in dem Moment, in dem die Zellen innerhalb des Gewebes über ihr Schicksal entscheiden, die Steifigkeit des Gewebes ab.
Auswirkungen auf die Gewebezüchtung?
Der nächste Schritt für die Forschenden ist die vielschichtige Frage, ob (und wenn ja, wie) die Veränderung der Steifigkeit in der embryonalen Umgebung die Veränderung des Zellzustands bewirkt. „Es gibt ein Wechselspiel: Die Strukturen, die Zellen aufbauen, und ihre individuellen Entscheidungen bedingen einander. Dieses Zusammenspiel ist der Kern, wie die Natur Organismen aufbaut".
Die Ergebnisse dieser Studie könnten auch weitreichende Auswirkungen auf die Gewebezüchtung haben. Potenzielle Materialien, die die schaumartigen Eigenschaften des embryonalen Gewebes im Gegensatz zu den weit verbreiteten synthetischen Polymer- oder Gelgerüsten nachahmen, könnten es den Forschenden ermöglichen, im Labor robustere und anspruchsvollere synthetische Gewebe, Organe und Implantate mit den entsprechenden Geometrien und mechanischen Eigenschaften für die gewünschten Funktionen herzustellen.
Quelle: iwd/TU Dresden
Artikel teilen




