Brustkrebs ist die Krebsart, die bei Frauen in den westlichen Industrienationen am häufigsten vorkommt – oft mit tödlicher Folge: An Brustkrebs sterben mehr Frauen als an irgendeiner anderen Krebserkrankung. „Bei Brustkrebs handelt es sich nicht um eine einheitliche Erkrankung, sondern um eine Kombination verschiedener Subtypen“, sagt der Pathologe Professor Dr. Carsten Denkert von der Philipps-Universität Marburg, einer der federführenden Autoren der aktuellen Studie. „Diese Subtypen sind von zentraler Bedeutung für die Entwicklung personalisierter Therapiestrategien.“
Brustkrebsgewebe von 2.310 Patientinnen untersucht
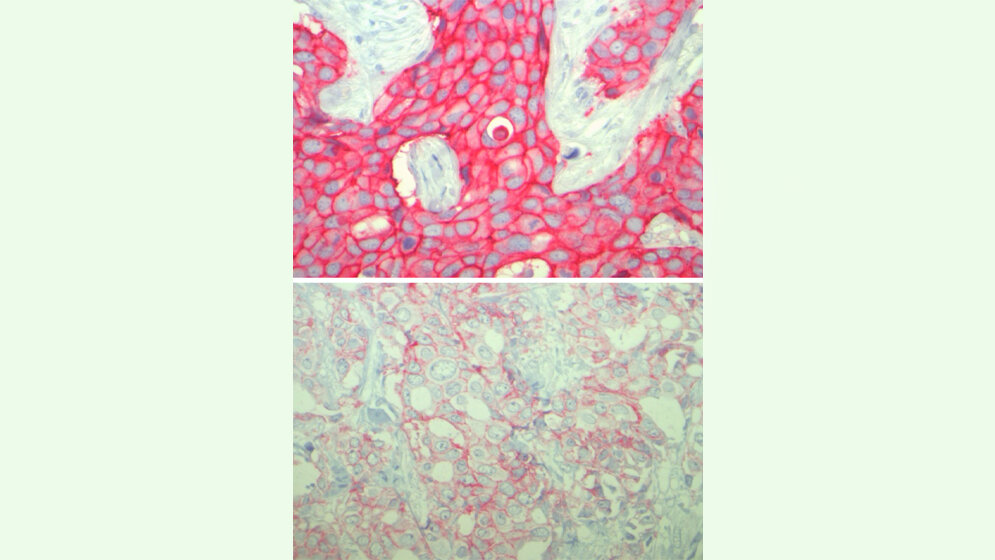
Bei einem Teil der Patientinnen liegt das Rezeptormolekül HER2 im Tumorgewebe stark vervielfältigt vor; HER2 ist ein wichtiges Krebsgen bei Brustkrebs. „Behandlungsansätze mit speziellen Antikörpern gegen HER2 haben neue therapeutische Optionen eröffnet“, ergänzt die Medizinprofessorin Dr. Sibylle Loibl von der Goethe-Universität Frankfurt, eine weitere Hauptautorin.
Bislang galt eine zielgerichtete Therapie nur dann als erfolgversprechend, wenn der Tumor eine sehr stark erhöhte Konzentration von HER2 aufweist. Das Forschungsteam um Denkert und Loibl untersuchte Brustkrebsgewebe von 2.310 Patientinnen, die eine Kombinationschemotherapie erhalten hatten.
Schwache Positivität für das HER2-Protein
„48 Prozent dieser Gewebeproben zeigen eine schwach-positive Konzentration von HER2“, berichtet Denkert. „Wie wir herausfanden, lässt sich Tumorgewebe mit schwacher Positivität für das HER2-Protein als eigener Brustkrebs-Subtyp charakterisieren, der sich von Tumoren unterscheidet, die gar kein HER2-Protein aufweisen.“ Das wirkt sich insbesondere auf das Überleben der Betroffenen aus: „Wenn im Tumor das HER2-Protein in geringer Konzentration vorliegt, ist die Überlebenswahrscheinlichkeit der Betroffenen größer, als wenn das Gewebe gar kein HER2 enthält“, legt Loibl dar.
Zugleich zeigen die Daten, dass Krebsformen mit wenig HER2 schlechter auf eine Chemotherapie ansprechen als Subtypen ohne HER2-Protein. „Offenbar ist Brustkrebs komplexer, als bislang angenommen wurde“, schlussfolgert Denkert, „dies eröffnet neue Möglichkeiten für künftige, personalisierte Behandlungsansätze. In der Zukunft könnten neue Therapien, die sich speziell gegen niedrig-HER2-positive Tumoren richten, das Überleben in dieser Subgruppe noch weiter verbessern.“
Klinische Versorgung verbessern
Der Mediziner Professor Dr. Carsten Denkert leitet das Institut für Pathologie der Philipps-Universität Marburg. Professorin Dr. Sibylle Loibl lehrt Medizin an der Goethe-Universität Frankfurt und leitet die „German Breast Group“. Neben Arbeitsgruppen aus Marburg und Frankfurt beteiligten sich zahlreiche Kliniken aus dem ganzen Bundesgebiet an der Studie. Die beteiligten Wissenschaftlerinnen und Wissenschaftler griffen dabei auf Proben zurück, die aus vier klinischen Studien der „German Breast Group“ stammen.
Die Deutsche Krebshilfe unterstützte die Forschungsarbeit auf mehreren Wegen: Über das gemeinsame onkologische Spitzenzentrum „Universitäres Centrum für Tumorerkrankungen Frankfurt-Marburg“ sowie durch ihren Förderschwerpunkt „Translationale Onkologie“. In diesem Programm werden Projekte an der Schnittstelle zwischen Grundlagenforschung und klinischer Anwendung durchgeführt. „Das Ziel ist es, die im Labor gewonnenen Erkenntnisse möglichst schnell in neue Diagnose- und Therapiestrategien umzusetzen, um die klinische Versorgung zu verbessern“, erklärt Professorin Dr. Christine Solbach, die Leiterin des Brustzentrums des Universitätsklinikums Frankfurt und Mitautorin der Publikation. Die vorliegende Studie profitierte dabei von der Forschungsförderung für das Marburger Projekt Integrate-TN sowie der Unterstützung durch das Deutsche Konsortium für translationale Krebsforschung (DKTK) und der langfristigen Forschungsförderung des Hessischen Ministeriums für Wissenschaft und Kunst (HMWK).
Internationale Vernetzung essentiell
„Eine nationale und internationale Vernetzung ist für die Durchführung klinischer Studien heute essentiell“, sagt Sibylle Loibl. „Denn nur, wenn wir gemeinsam an neuen Projekten arbeiten und die Ressourcen aus verschiedenen Zentren optimal nutzen, können wir gemeinsam neue Tumortypen identifizieren, klinisch charakterisieren und die neuen Therapien hierfür in klinischen Studien untersuchen.“ Professorin Christine Solbach ergänzt: „Forschungen wie die zum HER2-Krebsgen tragen dazu bei, dass wir in Zukunft die Therapieangebote für Brustkrebserkrankte – Operation, Bestrahlung und Chemotherapie – um zusätzliche Behandlungsmöglichkeiten für unsere Patientinnen und Patienten erweitern können.“
Denkert C, et al.: Clinical and molecular characteristics of HER2-low-positive breast cancer: pooled analysis of individual patient data from four prospective, neoadjuvant clinical trials. The Lancet Oncology 2021, DOI: doi.org/10.1016/S1470-2045(21)00301-6.
Quelle: idw/Philipps-Universität Marburg
Artikel teilen





