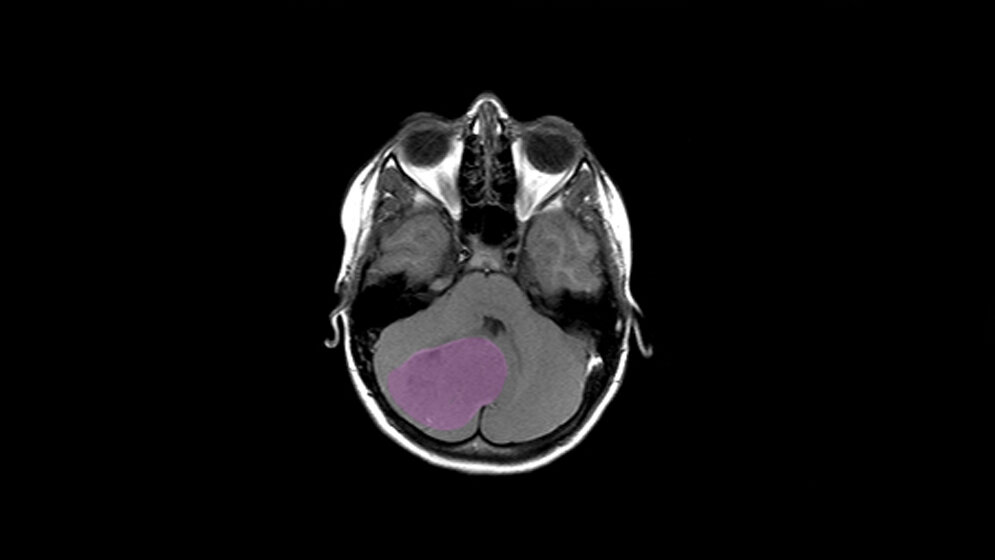
Medulloblastome sind bösartige Tumoren des Kleinhirns. Sie können in jedem Lebensalter vorkommen, meistens jedoch treten sie bei Kindern auf. Der Begriff Medulloblastom umfasst vier molekularbiologisch definierte Untergruppen, die mit sehr unterschiedlichen Krankheitsverläufen und Heilungschancen einhergehen. Kinder erkranken besonders häufig an Tumoren der Gruppen 3 und 4, die bislang wenig verstanden sind. Die Behandlung von Tumoren dieser Gruppe ist daher häufig schwierig. „Selbst wenn die Patienten gut auf die Behandlung ansprechen, werden sie oft zu einem hohen Preis geheilt, da sich die Therapie negativ auf das Gehirn, den IQ und die weitere Entwicklung der Kinder auswirken kann“, gibt Stefan Pfister, Wissenschaftler am Deutsches Krebsforschungszentrum, Oberarzt am Universitätsklinikum Heidelberg und Direktor am Hopp-Kindertumorzentrum am NCT Heidelberg (KiTZ), zu bedenken.
500 Medulloblastome analysiert
Unter Federführung von Wissenschaftlern aus dem DKFZ analysierte nun ein internationales Forscherteam knapp 500 Medulloblastome. Dabei stellten sie fest, dass die Hirntumoren genetisch weit vielfältiger sind als angenommen. Insbesondere in den Gruppen 3 und 4 waren mehr als die Hälfte der zugrundeliegenden genetischen Veränderungen bislang gänzlich unbekannt. „Während wir hier vorher gerade mal 30 Prozent der Tumoren molekularbiologisch erklären konnten, sind es jetzt 80 Prozent“, betont Peter Lichter, DKFZ.
Diese Erkenntnis trägt dazu bei, Untergruppen von Medulloblastomen schärfer zu definieren und individueller zu behandeln, um so die Heilungschancen zu verbessern und gleichzeitig das Risiko für gravierende Nebenwirkungen einzudämmen. Das kann nach Aussage des Krebsforschers zum Teil mit bereits zur Verfügung stehenden Wirkstoffen geschehen. „Bei anderen Subtypen verstehen wir jetzt erstmals die genetischen Ursachen und können uns daher gezielt auf die Suche nach neuen Therapieansätzen machen“, so Lichter.
Veränderungen auf der Ebene der Genregulation
Darüber hinaus haben die Wissenschaftler Veränderungen auf der Ebene der Genregulation als einen typischen Mechanismus für das Auftreten von Medulloblastomen identifiziert. Häufig „kapern“ Krebsgene regelrecht Verstärkungselemente (Enhancer) der DNA. Wissenschaftler sprechen vom „Enhancer Hijacking“. Durch Strukturveränderungen in der DNA wandert ein Krebsgen, das eigentlich inaktiv sein sollte, in einen anderen Bereich, wo es von einem Verstärker aktiviert wird und zur Krebsentstehung beiträgt.
Die Arbeit wurde finanziert über das „PedBrain Tumour Project“ des Internationalen Krebsgenom-Konsortiums ICGC, von der Deutschen Krebshilfe und vom Bundesministerium für Bildung und Forschung. (DKFZ, red)
Paul A. Northcott, Ivo Buchhalter, A. Sorana Morrissy, et al.: The whole-genome landscape of medulloblastoma subtypes. Nature 547, 311–317 (20 July 2017). DOI: 10.1038/nature22973.
Artikel teilen






