Mindestens fünf Millionen Menschen in Deutschland leiden an einer Lebererkrankung. In Deutschland, anderen Ländern Europas und in den USA nimmt laut Krebsgesellschaft die Leberkrebs-Häufigkeit deutlich zu: In den letzten 30 Jahren hat sich die Zahl der Neuerkrankungen sowohl bei Männern als auch bei Frauen verdoppelt. Bei vielen Komplikationen chronischer Leberprobleme spielt Fibrose, die krankhafte Vermehrung von Bindegewebe, eine wichtige Rolle. An diesem Gewebeumbau sind aktivierte Leber-Sternzellen (Hepatic Stellate Cells, HSC) massiv beteiligt. Ein internationales Forschungsteam um Professor Dr. Ingmar Mederacke, Geschäftsführender Oberarzt an der Klinik für Gastroenterologie, Hepatologie und Endokrinologie der Medizinischen Hochschule Hannover (MHH) hat jetzt einen Ansatz gefunden, die Aktivierung von HSC zu senken und die damit verbundene Entwicklung von Leberfibrose zu verringern.
Bislang fehlen geeignete Medikamente
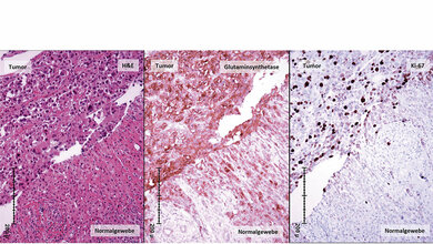
Leberfibrose und das Endstadium der Leberfibrose, die Leberzirrhose, sind ein bedeutendes medizinisches Problem, für das es bislang noch keine geeigneten Medikamente gibt. Zu den bekanntesten Ursachen zählen chronischer Alkoholkonsum, Infektion mit Hepatitis-Viren, aber auch Medikamente oder eine Fettleber. Die krankmachenden Reize schädigen die Leberzellen, die sogenannten Hepatozyten. Sie sterben ab und lösen dadurch eine Entzündungsreaktion aus. Bislang war nicht bekannt, wie dieser Entzündungsprozess die hepatischen Sternzellen aktiviert. Die HSC befinden sich in den Blutgefäßwänden in unmittelbarer Nähe zu den Hepatozyten, wo sie in Ruhephase vor allem Vitamin A speichern. Werden sie jedoch aktiviert, bilden sie sich zu Myofibroblasten um und produzieren krankhaft viel Bindegewebe.
Gespeicherte, aktivierte Zuckermoleküle freigesetzt
„Wir haben uns angeschaut, welche Stoffe beim Zelltod von Hepatozyten freigesetzt werden und wie diese Moleküle genau mit der Fibrosebildung zusammenhängen“, sagt Professor Mederacke. Das Forschungsteam fand heraus, dass beim Zelltod der Hepatozyten bestimmte gespeicherte, aktivierte Zuckermoleküle (UDP-Glucose und UDP-Galactose) freigesetzt werden. Diese können als sogenannte Liganden passgenau an ein Protein namens P2Y14 binden. „Den P2Y14-Rezeptor haben wir vor allem in den Leber-Sternzellen gefunden“, erklärt der Mediziner.
Suche nach einem Antagonisten
Im Mausmodell hat das Forschungsteam den Signalweg zwischen P2Y14-Liganden und -Rezeptor überprüft. Eine vermehrte Freisetzung dieser aktivierten Zuckermoleküle führte zur Aktivierung der Sternzellen. Eine Inaktivierung des P2Y14-Rezeptors verringerte dagegen die Fibrosebildung. „Auch in menschlichen hepatischen Sternzellen konnten wir den P2Y14-Rezeptor mit Hilfe spezieller Antikörper nachweisen“, sagt der Hepatologe. Der Zusammenhang zwischen dem Zelltod des Lebergewebes und der Fibrosebildung habe sich auch in Untersuchungen gesunder und kranker menschlicher Leber bestätigt. Die Entdeckung könnte ein wichtiger Schritt zu einer antifibrotischen Therapie sein. Als nächstes müsste dafür ein Antagonist gefunden werden, der den P2Y14-Rezeptor blockieren und darüber die Entstehung von Leberfibrose vermindern kann.
Quelle: idw/MHH
Artikel teilen







