Die Wissenschaftler zeigen, dass anhand von Standard-Magnetresonanztomografien (MRT) sorgfältig trainierte maschinelle Lernverfahren das Therapieansprechen bei Hirntumoren verlässlicher und präziser wiedergeben als etablierte radiologische Verfahren. Damit kann ein wertvoller Beitrag zu einer individuell angepassten Behandlung der Tumoren geliefert werden. Darüber hinaus ist das validierte Verfahren ein wichtiger erster Schritt zur automatisierten Hochdurchsatzanalyse medizinischer Bilddaten von Hirntumoren.
Präzise validierte Behandlungsansätze dringend benötigt
Gliome sind die häufigsten und bösartigsten Hirntumoren bei Erwachsenen. In Deutschland erkranken jährlich ca. 4.500 Menschen an einem Gliom. Die Tumoren lassen sich durch eine Operation häufig nicht vollständig entfernen. Chemo- oder Strahlentherapie sind nur begrenzt wirksam, da der Tumor eine hohe Widerstandskraft besitzt. Neue und präzise validierte Behandlungsansätze werden daher dringend benötigt.
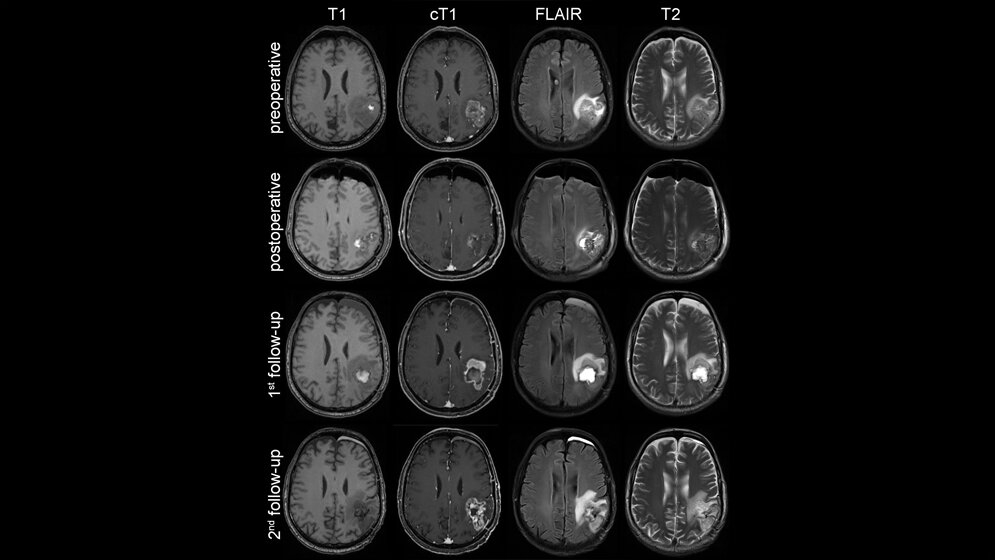
Eines der wesentlichen Kriterien zur präzisen Beurteilung der Wirksamkeit einer neuen Therapie bei Hirntumoren ist die Wachstumsdynamik, die über MRT-Bildgebung ermittelt wird. Doch das manuelle Messen der Tumorausdehnung in zwei Ebenen in den kontrastverstärkten MRT-Aufnahmen ist fehleranfällig und führt leicht zu abweichenden Ergebnissen. „Das kann die Beurteilung des Therapieansprechens und in der Folge die Reproduzierbarkeit und Präzision von wissenschaftlichen Aussagen, die auf Bildgebung beruhen, negativ beeinflussen“, erklärt Martin Bendszus, Ärztlicher Direktor der Abteilung Neuroradiologie am Universitätsklinikum Heidelberg.
Große Potenzial von maschinellen Lernverfahren
Ärzte und Wissenschaftler vom Universitätsklinikum Heidelberg und vom Deutschen Krebsforschungszentrum beschreiben in ihrer aktuellen Arbeit das große Potenzial von maschinellen Lernverfahren in der radiologischen Diagnostik. Das Team hat neuronale Netzwerke entwickelt, um computerbasiert das Therapieansprechen von Hirntumoren in der MRT standardisiert und vollautomatisch zu beurteilen und klinisch zu validieren. Für diese Arbeit kooperierte ein Team um Philipp Kickingereder aus der Abteilung Neuroradiologie am Universitätsklinikum Heidelberg mit den Forschern der Abteilung Medizinische Bildverarbeitung am Deutschen Krebsforschungszentrum unter der Leitung von Klaus Maier-Hein sowie mit Kollegen vom Nationalen Centrum für Tumorerkrankungen (NCT) und von der Neurologischen Klinik des Universitätsklinikums Heidelberg unter der Leitung von Wolfgang Wick.
Algorithmen lernen
Anhand einer Referenzdatenbank mit MRT-Untersuchungen von knapp 500 Hirntumorpatienten des Universitätsklinikums Heidelberg erlernten die Algorithmen unter dem Einsatz künstlicher neuronaler Netzwerke die Hirntumoren automatisch zu erkennen und zu lokalisieren. Außerdem wurden die Algorithmen darauf trainiert, die einzelnen Bereiche (kontrastmittelaufnehmender Tumoranteil, peritumorales Ödem) volumetrisch zu vermessen und das Therapieansprechen präzise zu beurteilen.
Die Ergebnisse wurden in Kooperation mit der European Organisation for Research and Treatment of Cancer (EORTC) umfassend validiert. „Die Auswertung von über 2.000 MRT-Untersuchungen von 534 Glioblastom-Patienten aus ganz Europa zeigt, dass unser computerbasierter Ansatz eine zuverlässigere Beurteilung des Therapieansprechens ermöglicht, als es mit der herkömmlichen Methode der manuellen Messung möglich wäre. Wir konnten die Verlässlichkeit der Beurteilung um 36 Prozent verbessern. Das kann für die auf Bildgebung basierende Beurteilung der Wirksamkeit einer Therapie in klinischen Studien von entscheidender Bedeutung sein. Auch die Vorhersage des Gesamtüberlebens war mit unserem neuen Verfahren exakter möglich“, erklärt Kickingereder.
Möglichst rascher Einsatz
Die vielversprechende Technik zur standardisierten und vollautomatischen Beurteilung des Therapieansprechens von Hirntumoren soll möglichst rasch in klinischen Studien und zukünftig auch in der klinischen Routine eingesetzt werden. Dazu konzipierten und evaluierten die Forscher zusätzlich eine Softwareinfrastruktur, die eine vollständige Integration der Entwicklung in bestehende radiologische Infrastruktur ermöglicht. „Damit schaffen wir die Voraussetzungen für einen breiten Einsatz und eine vollautomatisierte Verarbeitung und Analyse von MRT-Untersuchungen bei Hirntumoren innerhalb weniger Minuten“, erläutert Klaus Maier-Hein.
Hochdurchsatzanalyse auch für andere Bereiche
Derzeit wird die neue Technologie am NCT Heidelberg erneut evaluiert, als Teilaspekt einer klinischen Studie zur besseren Behandlung von Glioblastompatienten. „Für Präzisionstherapien ist eine standardisierte und verlässliche Beurteilung der Effektivität der neuen Behandlungsansätze von herausragender Bedeutung. Hier kann die von uns entwickelte Technologie möglicherweise einen entscheidenden Beitrag leisten“, erklärt Wolfgang Wick.
„Wir konnten mit dieser Arbeit das große Potenzial von künstlichen neuronalen Netzwerken in der radiologischen Diagnostik belegen“, fasst Philipp Kickingereder zusammen. „In Zukunft wollen wir die Technologie zur automatisierten Hochdurchsatzanalyse von medizinischen Bilddaten weiter voranbringen und sie neben dem Einsatz bei Hirntumoren auch auf andere Krankheiten wie z.B. Hirnmetastasen oder multiple Sklerose übertragen“, ergänzt Klaus Maier-Hein. (DKFZ, red)
Kickingereder P, Isensee F, Tursunova I, et al.: Automated quantitative tumor response assessment of MRI in neuro-oncology with artificial neural networks: a multicenter, retrospective study. Lancet Oncology 2019, DOI: 10.1016/S1470-2045(19)30098-1.
Artikel teilen







