Die Autoren der Studie konnten zeigen: Patienten mit weniger als vier Hirnmetastasen eines Brustkrebses oder nicht kleinzelligen Lungenkarzinoms überlebten mit stereotaktischer Radiochirurgie länger als bei Ganzhirnbestrahlung. Bei der Radiochirurgie werden gezielt nur die Metastasen einmalig präzise mit einer hohen Dosis bestrahlt, das gesunde Hirngewebe wird geschont.
Weitere Daten sind nötig
„Die Studie bestätigt den aktuellen Trend weg von der Ganzhirnbestrahlung, zumindest als frühe Therapiemaßnahme“, kommentiert Professor Michael Weller von der Deutschen Gesellschaft für Neurologie (DGN), federführender Autor der Leitlinie „Hirnmetastasen und Meningeosis neoplastica“, die Ergebnisse. Über die jüngsten Erkenntnisse der Neuroonkologie werden Experten auch beim Kongress der Deutschen Gesellschaft für Neurologie (DGN) vom 21. bis 24. September in Mannheim diskutieren.
„Der Trend ist aus neurologischer Sicht zu begrüßen, weil die Ganzhirnbestrahlung vor allem bei längerer Überlebenszeit ein hohes Risiko für neurokognitive Defizite birgt. Er entspricht auch den Empfehlungen der DGN-Leitlinie“, erklärt Professor Weller. Welche Mechanismen dem Überlebensvorteil zugrunde liegen, lasse die Studie aber offen. Um sichere Rückschlüsse für die Patienten zu ziehen, seien weitere Daten aus prospektiven randomisierten Studien nötig.
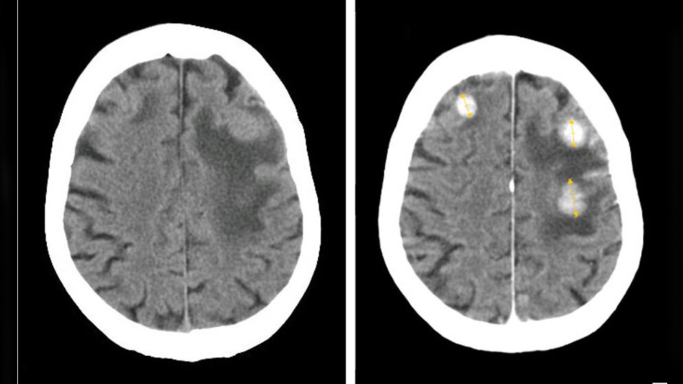
Mehr als 25 Prozent aller Patienten mit systemischen Malignomen entwickeln Hirnmetastasen. Sehr häufig streuen nicht kleinzellige Bronchialkarzinome (NSCLC) und Mammakarzinome ins Gehirn. Die Tochtergeschwulste können sich mit Kopfschmerzen, Lähmungen, psychischen Veränderungen oder epileptischen Anfällen äußern. Ohne Behandlung haben Patienten nach der Diagnose von Hirnmetastasen eine schlechte Prognose: Das mediane Überleben liegt bei einem bis zwei Monaten.
Strahlentherapie verlängert Überleben
Eine gezielte Therapie kann diese Zeitspanne verlängern. Im Idealfall lassen sich Hirnmetastasen resezieren, zudem stehen verschiedene strahlentherapeutische Behandlungsregime zur Verfügung. Auch die medikamentöse Tumortherapie nimmt eine zunehmend wichtige Rolle ein.
„In den letzten Jahren ist die Ganzhirnbestrahlung gegenüber der stereotaktischen Radiochirurgie deutlich in den Hintergrund getreten – zumindest bei Subgruppen von Patienten, insbesondere mit wenigen Läsionen und bei Tumoren, die eher strahlenresistent sind und sich deshalb auch durch Ganzhirnbestrahlung nicht gut kontrollieren lassen“, erklärt Michael Weller, Direktor der Klinik für Neurologie am UniversitätsSpital Zürich.
Radiochirurgie versus Ganzhirnbestrahlung
Wie effektiv stereotaktische Radiochirurgie und Ganzhirnbestrahlung im Vergleich sind, untersuchte eine retrospektive Studie, die im Juli 2016 im Fachmagazin Cancer publiziert wurde. Die Forscher analysierten Daten von Patienten mit nicht kleinzelligem Bronchialkarzinom oder Mammakarzinom, die zwischen 2007 (Diagnose NSCLC) bzw. 1997 (Diagnose Mammakarzinom) und 2009 an fünf großen US-Krebszentren entweder nach dem einen oder nach dem anderen Regime bestrahlt worden waren. 27,8% der NSCLC-Patienten (n = 400) und 13,4% der Patientinnen mit Mammakarzinom (n = 387) hatten nur eine stereotaktische Radiochirurgie zur Behandlung ihrer Hirnmetastasen erhalten. Bis auf wenige Ausnahmen hatten diese Patienten weniger als vier Hirnmetastasen von weniger als vier Zentimetern Durchmesser.
Mit statistischen Mitteln versuchten die Autoren, potenzielle Einflussfaktoren auszugleichen, aufgrund derer Patienten bevorzugt die eine oder die andere Bestrahlung bekommen hatten, etwa Zahl und Größe der Metastasen, Ausbreitung des Tumors, Jahr der Diagnose und behandelnde Klinik. Sie kamen zu dem Schluss, dass Patienten mit weniger als vier Metastasen im Gehirn, die kleiner sind als vier Zentimeter, länger überleben, wenn man primär auf die Ganzhirnbestrahlung verzichtet und stattdessen eine stereotaktische Radiochirurgie anwendet.
Viele offene Fragen – weitere Studien nötig
Da es sich um eine retrospektive Analyse handle, habe die Studie nur begrenzte Aussagekraft, betont Michael Weller. „Die Beobachtung ist grundsätzlich interessant. Aber es bleibt das Problem, dass den Patienten die jeweilige Therapie ja vermutlich aus gewissen Gründen zugeordnet wurde und nicht zufällig. Wenngleich die Autoren sich bemüht haben, prognostische Faktoren zu kontrollieren, können wir aus diesen Daten keine sicheren Rückschlüsse ziehen.“
Die wesentlichen Fragen bleiben also weiterhin offen: Ist die Tumorkontrolle bei stereotaktischer Radiochirurgie tatsächlich besser? Oder versterben die Patienten früher, weil die Ganzhirnbestrahlung ihren kognitiven Zustand so verschlechtert, dass sie weniger Zweit- und Drittlinien-Therapien, zum Beispiel weniger Chemotherapie, erhalten? „Um für unsere Patienten wirklich die beste Behandlung auswählen zu können, brauchen wir Daten aus prospektiven randomisierten Studien“, sagt Weller.
Die neuesten therapeutischen Entwicklungen der Neuroonkologie sind auch Thema beim Kongress der Deutschen Gesellschaft für Neurologie (DGN) vom 21. bis 24. September in Mannheim. Zum größten deutschsprachigen Neurologie-Kongress erwartet die DGN etwa 6.000 Experten für Gehirn und Nerven. Weitere Informationen zu Inhalten und Programm gibt es unter www.dgnkongress.org. (idw, red)
Halasz, Lia M. et al.: Comparative effectiveness of stereotactic radiosurgery versus whole-brain radiation therapy for patients with brain metastases from breast or non-small cell lung cancer. Cancer 2016; 122: 2091–100.
Artikel teilen




