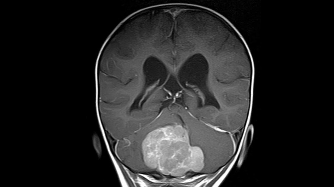
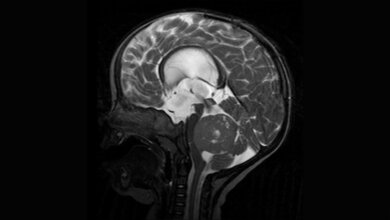
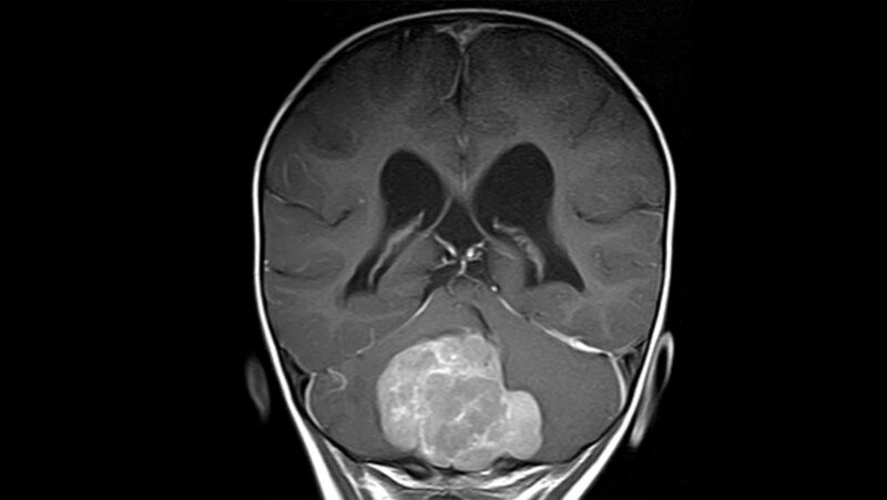
Das Medulloblastom ist einer der häufigsten soliden Tumoren im Kindesalter und der häufigste bösartige Hirntumor bei Kindern überhaupt. Laut Deutscher Hirntumorhilfe machen diese Tumoren bei Kindern und Jugendlichen etwa 20 Prozent, bei Erwachsenen nur 1 Prozent der Hirntumoren aus. Der Tumor wächst im Kleinhirn und kann lebenswichtige Hirnzentren durch sein Wachstum schädigen. Anhand von Gewebemerkmalen und genetischer Kriterien werden Medulloblastome heute in unterschiedliche Risikogruppen unterteilt, die einen völlig unterschiedlichen Verlauf nehmen können. Während bestimmte Subtypen aggressiv voranschreiten und Metastasen bilden, gibt es andere Formen, die durch eine intensive Kombinationstherapie aus Operation, Chemotherapie und Bestrahlung in der Regel geheilt werden können. Was bestimmte Tumoren auf zellulärer Ebene in die gutartigere oder bösartige Richtung lenkt, hat ein Forscherteam des Hopp-Kindertumorzentrums Heidelberg (KiTZ), des Deutschen Krebsforschungszentrums und des Universitätsklinikums Heidelberg (UKHD) jetzt mit einem neuartigen Verfahren untersucht.
Reifung der Krebszellen im Laufe ihrer Wanderung
Ein bestimmter Medulloblastomtyp, der sich einerseits durch seine guten Heilungschancen und gleichzeitig durch besondere strukturelle Eigenschaften seines Gewebes auszeichnet, diente ihnen dafür als Modell: Beim sogenannten Medulloblastom mit extensiver Nodularität (MBEN) grenzen sich innerhalb des Tumors kleine Gewebekammern ab, die weintraubenartig zusammenhängen. Tumorzellen, die sich in diesen Knoten befanden, so zeigte die Studie, waren nicht mehr teilungsaktiv und ihr genetisches Programm ähnelte denen ausgereifter Hirnzellen. In den Zwischenbereichen identifizierten die Wissenschaftlerinnen und Wissenschaftler dagegen unterschiedliche Zelltypen: Neben Immun- und Bindegewebszellen befanden sich dort auch deutlich aggressivere Tumorzellen, die sich weiterhin unkontrolliert teilten und deren genetisches Programm eher denen schnell wachsender Medulloblastome und unreifer Nervenzellen ähnelte. Im Laufe ihrer Wanderung in die Knoten reiften die Krebszellen jedoch wieder zu nervenähnlichen Zellen aus und teilten sich nicht mehr.
Zelltypen innerhalb des Tumors lokalisieren
Kristian Pajtler, Kinderonkologe am KiTZ, DKFZ und UKHD und Leiter der Studie, erklärt die Ergebnisse so: „Bei einigen kindlichen Tumoren kommt es zu einer Blockade des normalen Entwicklungsprozesses. Die Krebszellen werden damit unreifen Vorläuferzellen ähnlich, die durch ein bestimmtes genetisches Programm teilungsaktiv bleiben. Bei den MBEN Tumoren funktioniert das anscheinend nur teilweise und viele der Zellen durchlaufen dann doch den halbwegs normalen Entwicklungsprozess einer Kleinhirnzelle und hören auf sich zu teilen. Das würde auch den meist günstigen Verlauf in diesem Tumortyp erklären.“ Für ihre Analysen zerlegte das Team die Tumoren von neun jungen MBEN Patientinnen und Patienten in ihre einzelnen zellulären Bestandteile und analysierte das genetische Programm der einzelnen Zellen. Durch ein bioinformatisches Verfahren konnten sie anschließend rekonstruieren, wo genau sich diese Zellen innerhalb des Tumors befanden. Das Verfahren, das in Zusammenarbeit mit der Abteilung von Karsten Rippe vom DKFZ angewendet wurde, hat eine besondere Bedeutung für die Medulloblastom-Forschung, erklärt einer der beiden Erstautoren der Studie, David Ghasemi, Arzt und Wissenschaftler am KiTZ, UKHD und DKFZ. „Denn bisher ist es noch nie gelungen, Labormodelle für diesen Medulloblastomtyp zu entwickeln. Erst durch dieses Verfahren war es möglich, die einzelnen Zelltypen innerhalb des Tumors zu lokalisieren und nachzuvollziehen, wie sich die verschiedenen Bereiche innerhalb des Tumors unterscheiden.“
Mögliche therapeutische Stellschraube?
Die Blockade des Reifungsprozesses ist eine wichtige therapeutische Stellschraube, an der bereits geforscht wird, um einen bösartigen Verlauf bei Kindern abzuwenden und die Krebszellen wieder in eine gutartige Richtung zu lenken. „Möglicherweise bräuchten MBEN Tumoren hier nur einen kleinen Schubs“, sagt Pajtler. „Denn auch wenn die meisten Kinder mit einem MBEN Tumor durch Operation und gegebenenfalls weitere Therapien geheilt werden können, sind das sehr intensive Behandlungen für Kleinkinder, die häufig mit starken, lebenslangen Nebenwirkungen verbunden sind.“
Quelle: DKFZ
Artikel teilen





