
Zusammenfassung
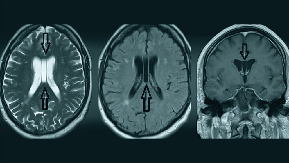
Das Cavum Vergae ist eine anatomische Variante, in der Mittellinie des Gehirns gelegen. Es ist die am meisten vorkommende kavale Variante, während das Septum veli pelluci die seltenere ist. Mittellinienanomalien wie CV können ein unspezifisches Risiko für mentale Veränderungen darstellen.
Schlüsselwörter: Cavum Vergae, Multislice-CT, MRT
Abstract
Cavum Vergae is an anatomical variant located in the midline of the brain. It is the most common type of cavum variation, while cavum septi pellucidi is the rarest. Midline brain abnormalities, such as CV, might represent an unspecific risk for the development of mental disorder.
Keywords: Cavum Vergae, multislice-CT, MRI
DOI: 10.3238/MTADIALOG.2018.0376
Entnommen aus MTA Dialog 5/2018
Dann nutzen Sie jetzt unser Probe-Abonnement mit 3 Ausgaben zum Kennenlernpreis von € 19,90.
Jetzt Abonnent werden




