Anomalien und Normvarianten: Interne Veränderungen 2.16 – Intrathorakale Magen-Darm-Luxation
Zusammenfassung
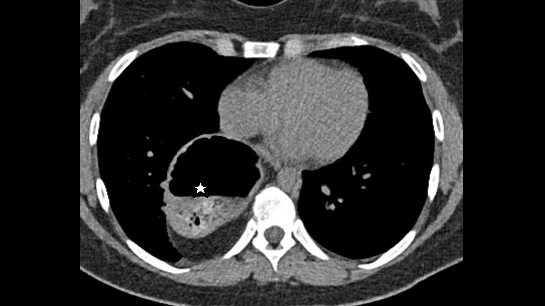
Bei Patienten mit bekanntem abdominellen Trauma sollte immer an die Möglichkeit einer diaphragmatischen Hernie gedacht werden. Der kindliche kongenitale Thoraxmagen ist eine seltene pädiatrische Diagnose.
Schlüsselwörter: Intrathorakale Magen-Darm-Anteile, Röntgen, CT, MRT
Abstract
In patients with a known history of abdominal trauma doctors should be aware of the possibility of diaphragmatic hernia. Congenital intrathoracic stomach is an uncommon pediatric diagnosis.
Keywords: Intrathoracic stomach and bowel, X-ray, CT, MRI
DOI: 10.53180/MTADIALOG.2022.0878
Entnommen aus MTA Dialog 11/2022
Dann nutzen Sie jetzt unser Probe-Abonnement mit 3 Ausgaben zum Kennenlernpreis von € 19,90.
Jetzt Abonnent werden






