Anomalien und Normvarianten – Interne Veränderungen 2.25: arteriovenöse Malformation der Lunge
Zusammenfassung
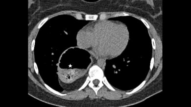
Die pulmonale arteriovenöse Malformation ist eine abnormale Verbindung zwischen einer Pulmonalarterie und Pulmonalvene. Die endovaskuläre Behandlung der den Nidus versorgenden Arterie mit Embolisation oder der drainierenden Vene hat sich zur Therapie der Wahl entwickelt, bedingt durch die Entwicklung der interventionellen Materialien.
Schlüsselwörter: Pulmonale arteriovenöse Malformation, CT, MRT
Abstract
Pulmonary arteriovenous malformation is an abnormal communication between the pulmonary artery and pulmonary vein without an intervening capillary communication. Endovascular treatment, that is, selective embolization of the pulmonary artery feeding the nidus of the pulmonary AVM, and/or selectively either the nidus or draining vein, has become a first-line treatment with advances in interventional devices.
Keywords: Pulmonary arteriovenous malformation, CT, MRI
DOI: 10.53180/MTIMDIALOG.2024.0833
Entnommen aus MT im Dialog 11/2024
Dann nutzen Sie jetzt unser Probe-Abonnement mit 3 Ausgaben zum Kennenlernpreis von € 19,90.
Jetzt Abonnent werden



