Anomalien und Normvarianten – Skelettale Veränderungen 3.17
Zusammenfassung
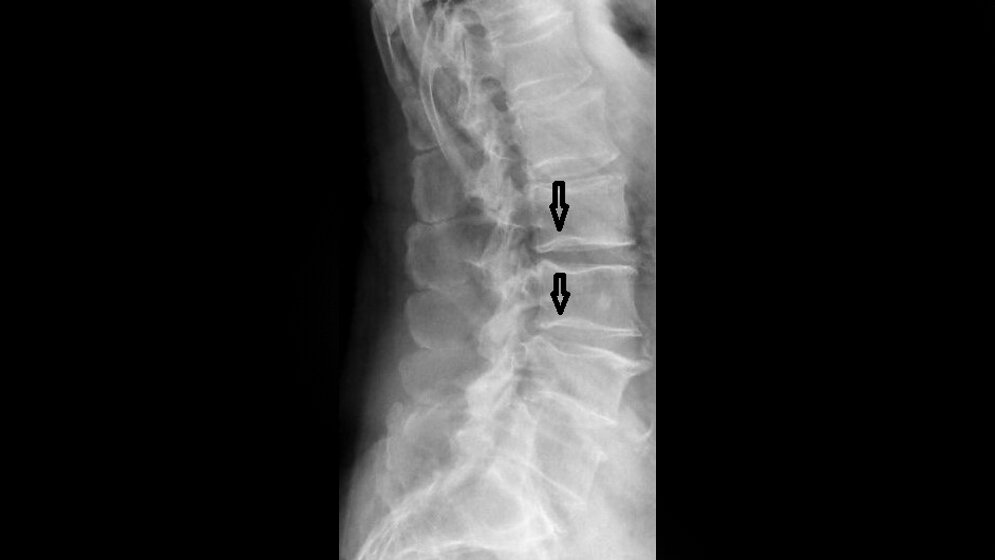
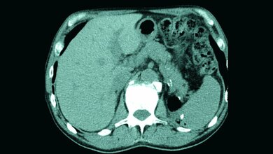
Die Chorda dorsalis ist ein wichtiger Regulator der embryonalen Strukturierung der Wirbeltiere. Eine abnorme Entwicklung der Chorda kann mit etlichen angeborenen Fehlbildungen einhergehen. Die persistierende Chorda dorsalis hat keine Relevanz.
Schlüsselwörter: Persistierende Chorda dorsalis, Röntgen, CT, MRT
Abstract
The notochord is a major regulator of embryonic patterning in vertebrates and abnormal notochordal development is associated with a variety of birth defects in man. A persist of chorda dorsalis has no significans.
Keywords: Persist chorda dorsalis, x-ray, CT, MRI
DOI: 10.3238/MTADIALOG.2021.0028
Entnommen aus MTA Dialog 1/2021
Dann nutzen Sie jetzt unser Probe-Abonnement mit 3 Ausgaben zum Kennenlernpreis von € 19,90.
Jetzt Abonnent werden




