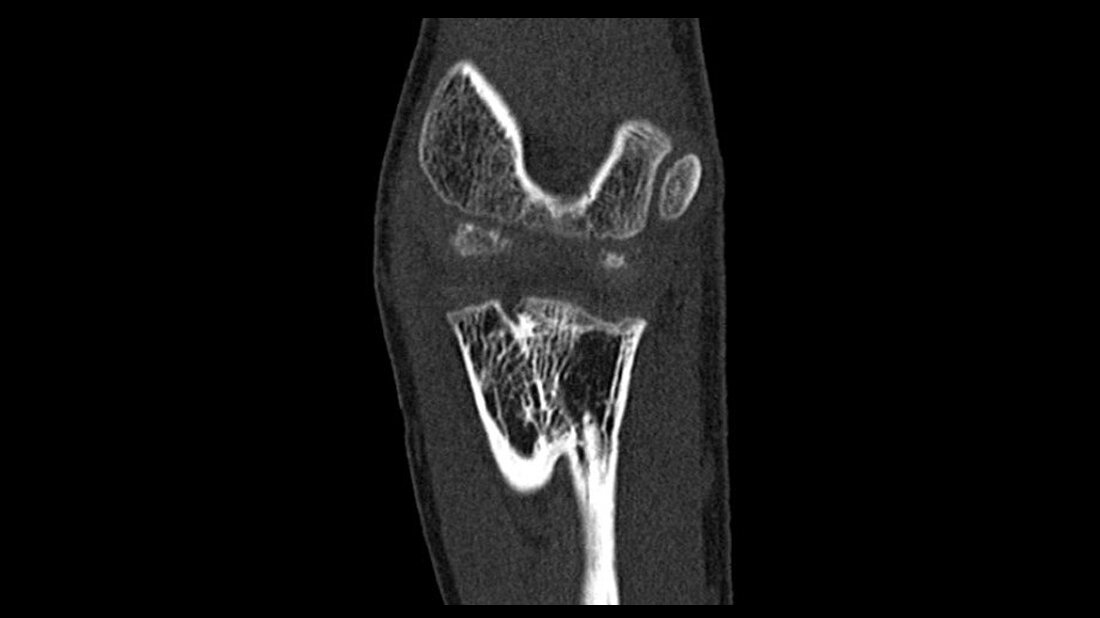
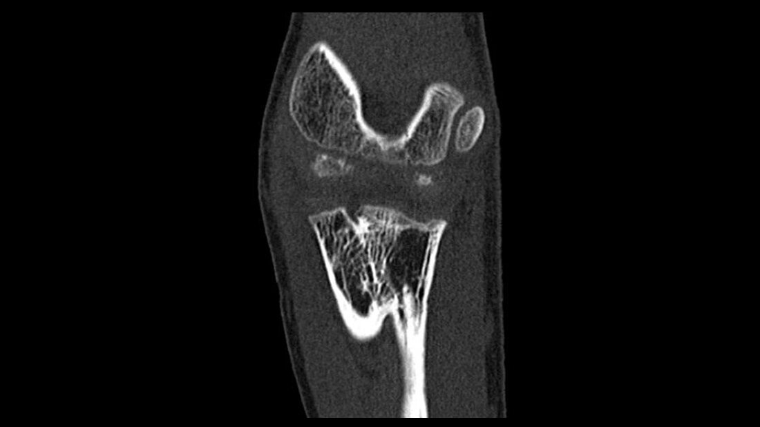
Anomalien und Normvarianten: Skelettale Veränderungen 3.30: kongenitale proximale radioulnare Synostose mit Morbus Hegemann
Zusammenfassung
Die radioulnare Synostose verursacht eine Einschränkung der aktiven und passiven Rotationsbewegung des Unterarms. Patienten mit einer kongenitalen proximalen radioulnaren Synostose kommen nicht so häufig vor. Sie haben eine auffällige Beugedeformierung des Radius und eine interne Rotationsdeformität von Radius und Ulna.
Schlüsselwörter: Kongenitale proximale radioulnare Synostose, Röntgen, CT, MRT
Abstract
Radioulnar synostosis is a bony connection between radius and ulna, which causes restriction of the active and passive rotational movement of the forearm. Patients with congenital proximal radioulnar synostosis are not so often. They have remarkable flexion deformities of the radius and internal rotation deformity of the radius and ulna.
Keywords: congenital proximal radioulnar synostosis, x-ray, CT, MRI
DOI: 10.53180/MTIMDIALOG.2023.0026
Entnommen aus MT im Dialog 1/2023
Dann nutzen Sie jetzt unser Probe-Abonnement mit 3 Ausgaben zum Kennenlernpreis von € 19,90.
Jetzt Abonnent werden






