Anomalien und Normvarianten: Skelettale Veränderungen 3.31 – Varianz der Sesambeine des Vorfußes
Zusammenfassung
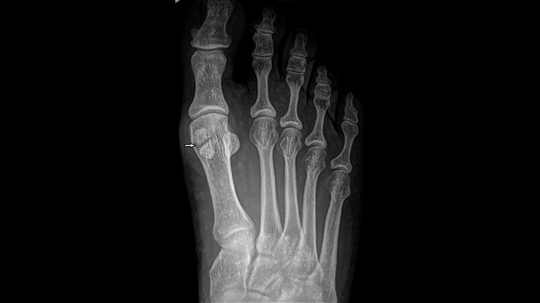
Die Ossa sesamoidea des ersten Metatarsale zeigen eine spezielle anatomische Konfiguration. Lokale Schmerzen der Sesambeine können kongenitale, traumatische, arthritische, infektiöse und ischämische Ursachen haben. Die bildgebenden Möglichkeiten sind Röntgen, Computer- oder Kernspintomografie.
Schlüsselwörter: Sesambeine des Vorfußes, Röntgen, CT, MRT
Abstract
The sesamoid bones of the first metatarsal exhibit a special anatomic configuration. Painful conditions of the hallux sesamoid bones are many and include congenital, traumatic, arthritic, infectious, and ischemic conditions. The imaging examination include conventional radiography, computed tomography, or MRI.
Keywords: Ossa sesamoidea of the feed, x-ray, CT, MRI
DOI: 10.53180/MTIMDIALOG.2023.0124
Entnommen aus MT im Dialog 2/2023
Dann nutzen Sie jetzt unser Probe-Abonnement mit 3 Ausgaben zum Kennenlernpreis von € 19,90.
Jetzt Abonnent werden






