Antibiotikum gegen Bauchspeicheldrüsenkrebs?
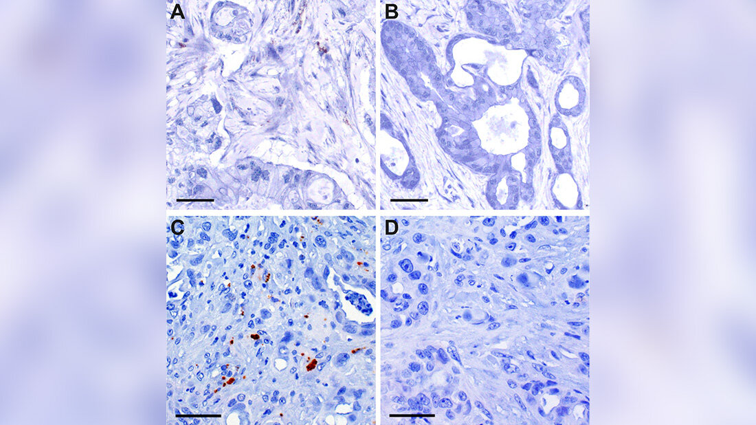
Überall im Körper finden wir Keime, auch in der Bauchspeicheldrüse. Dabei haben Studien bereits gezeigt, dass bestimmte Keime die Prognose der Patientinnen und Patienten verschlechtern, vor allem im Zusammenhang mit einer adjuvanten Chemotherapie. Gemzitabin ist ein häufig verwendetes Chemotherapeutikum, dass im Anschluss an die operative Entfernung des Bauchspeicheldrüsenkrebs gegeben wird. Doch bei einem Tumor, der viele dieser problematischen Keime enthält, greift Gemzitabin den Tumor nicht ausreichend an. Denn, wie eine Studie von 2017 im Mausmodell bereits zeigte, sind einige der Keime in der Lage, Gemzitabin zu einem inaktiven Stoffwechselprodukt abzubauen. Je höher die Bakterienlast im Tumor, desto schlechter die Prognose.
Antibiotikagabe verlängert Gesamtüberleben
Die retrospektive Studie zeigte, dass der Einsatz eines Antibiotikums hier eingreifen kann. Dabei gab es unterschiedliche Gründe, Patientinnen und Patienten ein Antibiotikum zu verschreiben. Doch die Betroffenen, die nach der OP und vor Beginn der Chemotherapie mit Gemzitabin ein Antibiotikum erhielten, meist gegen eine Infektion nach der OP, war das Überleben deutlich besser. „Es ist offensichtlich so, dass diese antibiotische Therapie die Keime, die die Effektivität der Chemotherapie reduzieren, unterdrückt und dadurch die Wirksamkeit der Therapie steigt“, resümiert Michael Günther, Erstautor und Assistenzarzt.
Die Studie umfasste insgesamt 342 Patientinnen und Patienten mit Bauchspeicheldrüsenkrebs. Das beste Überleben zeigten die Patientinnen und Patienten mit niedriger Bakterienlast und Antibiotikum (56 Monate). So verbesserte die Gabe eines Antibiotikums das Gesamtüberleben von Betroffenen mit hoher Bakterienlast im Tumor auf 29,6 Monate, während Betroffene mit niedriger Bakterienlast im Tumor ohne Antibiotikum ein Gesamtüberleben von 28,5 Monaten aufwiesen. Eine ähnliche Studie aus den USA belegte die neuen Erkenntnisse.
Leichte Umsetzung in die Praxis
Seit mehr als 15 Jahren ist die Chemotherapie mit Gemzitabin Standard nach einer Operation zur Entfernung des Tumors und verdeutlicht die Prognose der Patientinnen und Patienten deutlich. Das Chemotherapeutikum ist zwar weniger effizient, dafür weniger toxisch. Daher wird es in der Praxis noch oft verwendet, vor allem für die schwachen und multimorbiden Betroffenen. Auch für andere Krebspatientinnen und -patienten, zum Beispiel bei Blasen- oder Gallengangskrebs, sind die Ergebnisse von Belang, da hier ebenfalls eine hohe Bakterienlast vorgefunden werden kann. „Die Ergebnisse liefern einen neuen Behandlungsansatz, der schnell und unkompliziert in die Praxis umzusetzen wäre. Dazu kommt, dass Antibiotika weitverbreitete Medikamente sind, die schon lange zugelassen und sicher sind. Eine Kombinationstherapie mit Chemotherapeutika ließe sich somit leicht umsetzen“, erläutert Steffen Ormanns, Seniorautor und Leiter des Instituts für Allgemeine Pathologie der Universität Innsbruck.
Quelle: idw
Artikel teilen




