Unser Körper hat unterschiedliche Möglichkeiten, Krankheitserreger in Schach zu halten. Eine Methode ist der Nahrungsentzug, indem den Erregern wichtige Nährstoffe wie Eisen vorenthalten und sie ausgehungert werden. Doch bei Salmonellen funktioniert dies nicht immer. Der Grund dafür: Sie suchen eisenreiche Regionen im Körper auf, wie Forschende der Universität Basel herausgefunden haben.
Versteck in eisenreichen Regionen
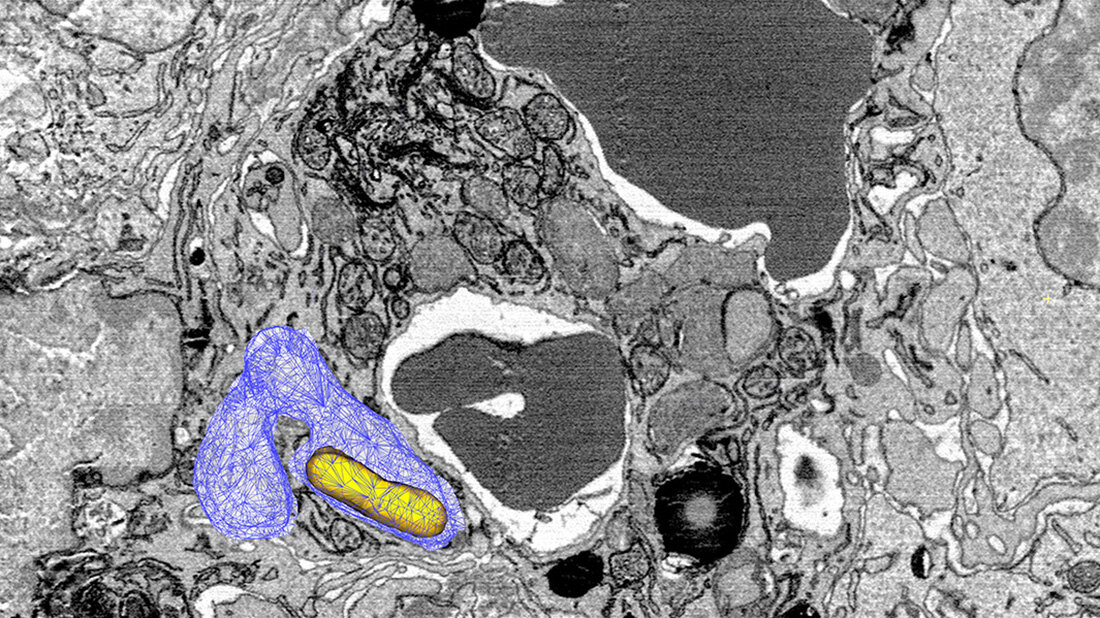
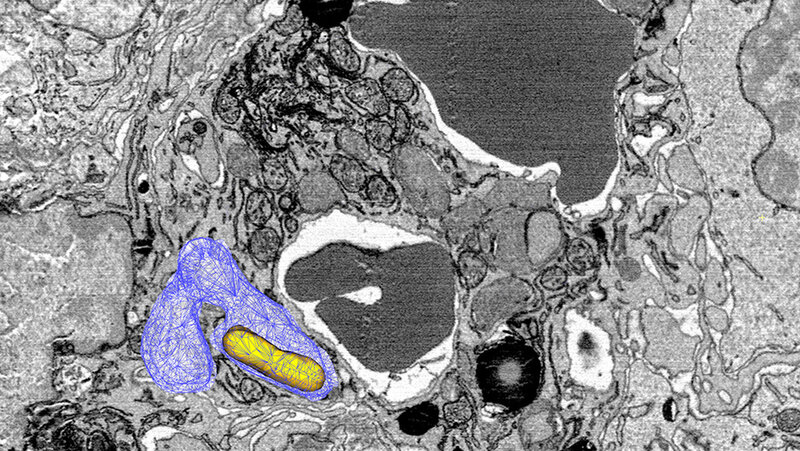
Die Bakterien verstecken sich in den Zellen, die besonders viel Eisen enthalten: den sogenannten Fresszellen. Hier können sie sich ungestört vermehren, obwohl sich die Makrophagen zunächst wehren und Eisen mithilfe eines Transportproteins entfernen. Doch Untersuchungen auf Einzelzellebene zeigten, wieso der Eisenmangel bei Salmonellen nicht wirkt. So sammeln sich die Salmonellen häufig in den Makrophagen der Milz, in denen alte oder beschädigte rote Blutkörperchen abgebaut werden. Hier liegt genügend Eisen vorhanden, dass sich die Salmonellen ungestört verbreiten können.
Dabei haben die Forschenden Unterschiede bei den Erregern entdeckt: „Wir haben in den Makrophagen der Milz zwei Populationen von Salmonellen entdeckt. Eine Gruppe lebt in eisenarmen Bereichen und vegetiert dort buchstäblich vor sich hin“, so Prof. Dr. Dirk Bumann. „Die zweite Population befindet sich in den Vesikeln, wo die roten Blutkörperchen abgebaut werden.“ Auch hier befördert das Transportprotein zwar das Eisen aus den Zellen hinaus, doch aufgrund des hohen Vorkommens reicht den Salmonellen das restliche Eisen zur Verbreitung aus. Sie sorgen dafür, dass die Erkrankung bestehen bleibt.
Die Studie zeigt zum einen, wie anpassungsfähig die Krankheitserreger sind und wie wichtig die Analyse der Infektionskrankheiten auch auf zellulärer Ebene ist. Erst wenn alle Tricks der Erreger bekannt sind, können sie vollumfänglich wirksam bekämpft werden.
Quelle: idw
Artikel teilen




