Eine Forschungsgruppe unter Federführung der Technischen Universität München (TUM) hat einen Marker gefunden, mit dem auf mikroskopischer Ebene Patientinnen und Patienten identifiziert werden können, bei denen mit hoher Wahrscheinlichkeit ein neuer Entzündungsschub bevorsteht. Dies bietet die Möglichkeit, früher therapeutisch gegenzusteuern. Der Stoffwechsel der Stammzellen im Darm wird durch die zelleigenen Energiekraftwerke – die Mitochondrien – gefördert. Chronische Entzündungsprozesse stören den Zellstoffwechsel und führen zu einem Funktionsverlust dieser Stammzellen. Dies hat ein Forschungsteam der TUM in einer gemeinsamen Studie mit dem Helmholtz Zentrum München und der Université de Paris herausgefunden, das Zellen des Dünndarms von Morbus Crohn-Kranken und vergleichend dazu im Mausmodell analysiert hat.
Rolle von Stammzellen und Paneth-Zellen
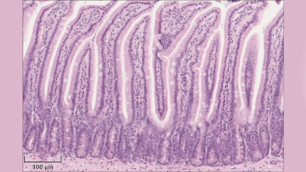
Stammzellen sind für den Erhalt und die Regeneration von Geweben unerlässlich. Die Stammzellen im Darm sind umgeben von so genannten Paneth-Zellen. Diese sind für die lokale Immunabwehr verantwortlich und sorgen für eine Umgebung, in der es den Stammzellen gut geht und damit für deren Erhalt.
Personen, die an Morbus Crohn leiden, haben insgesamt weniger Paneth-Zellen, die noch dazu in ihrer Funktion eingeschränkt sind. Die Forschungsgruppe beschäftigte sich mit den Fragen, was die Veränderungen der Paneth-Zellen verursacht und inwieweit der Zellstoffwechsel in den Stammzellen eine Rolle spielt.
Morbus Crohn-Schub vorhersagen
Dazu wurde neben Studien an Mäusen auch Darmgewebe von Patientinnen und Patienten mit Morbus Crohn, das operativ entfernt wurde, analysiert und genauestens kartiert. Nach sechs Monaten haben die Wissenschaftlerinnen und Wissenschaftler den Darm der Patienten erneut endoskopisch begutachtet und nach Entzündungsanzeichen gesucht.
Mikroskopische Veränderungen der Stammzellen waren in der Studie besonders häufig bei Patientinnen und Patienten zu finden, die nach sechs Monaten wieder Entzündungsanzeichen im Darm zeigten. „Das Erscheinungsbild der Stammzellen ist ein sehr frühes Anzeichen für den Beginn entzündlicher Prozesse und eignet sich, um die Wahrscheinlichkeit des Wiederaufflammens der Darmentzündung nach einer teilweisen Entfernung der betroffenen Dünndarmabschnitte abzuschätzen. Hier wäre ein geeigneter Ansatzpunkt für eine therapeutische Intervention“, erklärt Dirk Haller, Professor für Ernährung und Immunologie an der TUM.
Stammzellenfunktion wiederherstellen
Sowohl beim Menschen wie auch im Mausmodell wurde gleichzeitig mit den Veränderungen von Paneth-Zellen und Stammzellen auch eine verminderte Funktion der Mitochondrien festgestellt. Mit dem Wissen, dass eine verminderte mitochondriale Atmung zu Veränderungen bei Stammzellen und Paneth-Zellen führt, verwendeten die Forschenden im Mausmodell eine Substanz (DCA, Dichloracetat), die unter anderem bei bestimmten Krebserkrankungen eingesetzt wird. Sie bewirkt einen Anstieg der mitochondrialen Atmung.
Diese Substanz verursacht eine Verschiebung des zellulären Stoffwechsels. Die Wissenschaftlerinnen und Wissenschaftler konnten damit im Rahmen der Studie die Funktion der Stammzellen aus dem Darm entzündeter Mäuse wiederherstellen. Das zeigte sich in organähnlichen Mikrostrukturen, so genannten Organoiden.
Verlängerung von entzündungsfreien Phasen bei Morbus Crohn?
„Diese Ergebnisse deuten auf einen neuen Therapieansatz zur Verlängerung von entzündungsfreien Phasen bei Morbus Crohn hin“, so Dr. Eva Rath, Wissenschaftlerin im Wissenschaftszentrum Weihenstephan und Mitautorin der Studie. Ziel weiterer Forschungen ist es, den Effekt von DCA im Tiermodell und bei Patienten genauer zu untersuchen. Über eine gezielte Veränderung ihres Stoffwechsels, also eine so genannte metabolische Intervention, könnten Stammzellen und Paneth-Zellen, die die Darmbarriere bilden, vor einem Funktionsverlust bewahrt und eine nachfolgende Entzündung verhindert werden.
Sevana Khaloian, Eva Rath, Nassim Hammoudi, et al.: Mitochondrial impairment drives intestinal stem cell transition into dysfunctional Paneth cells predicting Crohn’s disease recurrence. Gut 2020; 0: 1–13. DOI: 10.1136/gutjnl-2019-319514.
Quelle: idw/TUM
Artikel teilen




