Das „Syndrom der ruhelosen Beine“, in manchen Fällen auch der Arme, wird den extrapyramidalen Hyperkinesien zugeordnet. RLS ist gekennzeichnet durch Missempfindungen, Bewegungsdrang und unwillkürliche Bewegungen in Ruhephasen (zum Beispiel nachts, auf dem Sofa liegend). Ist die Person aktiv beziehungsweise in Bewegung verringern sich diese Empfindungen und unwillkürlichen Bewegungen.
Fall einer 52-jährigen Patientin
Die Forscher stellen in ihrer Veröffentlichung den Fall einer 52-jährigen Patientin vor, die berichtet hatte, bereits seit einigen Jahren bei langen Autofahrten Bewegungsdrang und Missempfindungen in ihren Beinen zu verspüren. Durch Gehen verschwand diese Erscheinung jedoch wieder. Dann waren innerhalb weniger Monate weitere Störungen hinzugekommen: Unter anderem Probleme bei der Blasenentleerung, Kälteempfindungen in den Extremitäten, Schmerzen im Bereich der Halswirbelsäule und Lähmungserscheinungen in den Zehen des linken Fußes.
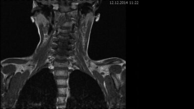
MRT zeigt Tumor
Im Rahmen einer MRT-Untersuchung wurde schließlich ein Tumor gefunden, der auf den Hirnstamm drückte. Nach der Entfernung des Tumors verschwanden die Störungen vollständig.
Es sind erst wenige Fälle dieser Art bekannt. In einem vergleichbaren Fall lag ein ähnlicher Stelle ein Tumor vor. Daraus folgern die Forscher, dass in seltenen Fällen die für RLS typischen Störungen ein erster Hinweis auf das Vorliegen eine Tumors auf Höhe des Foramen Magnum sein können. (idw, red)
Joachim Liepert, et al.: Restless Legs Syndrome as a First Indicator of a Meningioma-Induced Compression of Brainstem and Cervical Spinal Cord: A Case Report. EC Neurology 5.5 (2017): 201-203.
Artikel teilen






