Koronare Herzkrankheit: Bessere Beurteilung mit Photon-Counting
Die koronare Herzkrankheit (KHK) gehört zu den häufigsten Herzerkrankungen. Alleine in Deutschland sind mehr als fünf Millionen Menschen betroffen. In den meisten Fällen wird die KHK durch eine Verkalkung der Arterien, der sogenannten Arteriosklerose, verursacht. Durch die Ablagerungen verengen die Blutgefäße, die das Herz versorgen, stetig. Anfangs kommt es unter körperlicher Belastung zu Symptomen wie Brustschmerzen und Atemnot. Unbehandelt können sich aus den Ablagerungen Blutgerinnsel herauslösen, die das Gefäß vollständig verschließen und zu einem Herzinfarkt führen können.
Einsatz der PCD-CT
Die Forscherinnen und Forscher betonen, dass sich durch die ultrahochauflösende Photon-Counting-Detektor CTs (PCD-CT) Blutgefäße und Gefäßablagerungen genauer darstellen lassen als bisher. Mithilfe der innovativen Diagnostikmethode, die für eine direkte Umwandlung der auf den Detektor eintreffenden Photonen in elektrische Signale sorgt, konnten in der Studie der Unimedizin Mainz über 50 Prozent der Patientinnen und Patienten in eine niedrigere Krankheitskategorie eingestuft werden. Die Technologie habe das Potenzial, die Patientenversorgung zu verbessern und Gesundheitskosten zu reduzieren. An der Universitätsmedizin Mainz wird das PCD-CT bereits routinemäßig bei Patientinnen und Patienten mit schwerwiegenden Gefäßverkalkungen eingesetzt.
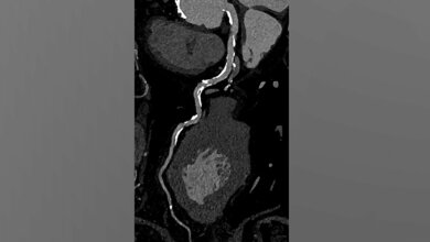
Problem des Calcium-Blooming-Effekt
Eine Herzuntersuchung mittels einer Computertomografie gehört zu den diagnostischen Verfahren, die eingesetzt werden, um eine koronare Herzerkrankung zu beurteilen. Diese Bildgebungsmethode stößt bisher jedoch insbesondere bei Betroffenen, bei denen die Ablagerungen bereits stark verkalkt sind, an ihre Grenzen. „Verkalkte Gefäßablagerungen haben eine höhere Dichte und erscheinen durch den sogenannten Calcium-Blooming-Effekt bei der Herz-CT als schwerwiegender, als sie es tatsächlich sind. Dies kann dazu führen, dass die Gefäßverengung, also die Stenose, überschätzt wird“, erklärt Dr. Tilman Emrich, Oberarzt in der Klinik und Poliklinik für diagnostische und interventionelle Radiologie der Universitätsmedizin Mainz und Assistenzprofessor für Radiologie an der Medical University of South Carolina in Charleston.
Unnötige invasive Eingriffe reduzieren?
Eine neue Generation von Computertomografen, die sogenannten PCD-CT, haben im Vergleich zur konventionellen CT eine deutlich verbesserte Bildqualität. Darüber hinaus bieten sie eine bessere räumliche Auflösung. Sie trägt dazu bei, dass zwei benachbarte Strukturen wie das Gefäß und die Ablagerungen genauer unterschieden werden können. „Die neue Technologie könnte ein deutlicher Vorteil für Patientinnen und Patienten sein, deren Stenose durch den Blooming-Effekt überbewertet wurde. Durch die bessere Beurteilung der koronaren Herzerkrankung können sich die Empfehlungen für nachgelagerte Tests erheblich verändern. Dies kann potenziell unnötige invasive Eingriffe reduzieren sowie die Gesundheitskosten senken“, so Emrich.
Einstufung in eine niedrigere Stenose-Kategorie
Die interdisziplinäre kardiologisch-radiologische Forschungsgruppe um Emrich (Radiologie) und Prof. Dr. Michaela Hell (Kardiologie) hat in ihrer Studie 114 Patientinnen und Patienten mit vermuteter oder diagnostizierter koronarer Herzerkrankung mit der PCD-CT untersucht. Sie fanden heraus, dass die ultrahochauflösende CT in vielen Fällen einen geringeren Stenose-Grad ergab als die konventionelle CT. Mit einer Standardauflösung fiel der von den Expertinnen und Experten gemessene Stenosegrad mit einer Verengung von 42 Prozent deutlich größer aus als bei der ultrahohen Auflösung mit 29 Prozent. Mit Hilfe der PCD-CT konnten so rund 54 Prozent der Studienteilnehmenden in eine niedrigere Stenose-Kategorie, die sogenannte CAD-RADS (Coronary Artery Disease Reporting and Data System)-Klasse, eingestuft werden, als sie ursprünglich zugewiesen worden waren. Der Effekt war besonders groß bei Personen, die eine starke Gefäßverkalkung vorwiesen. Bei gemischten und nicht verkalkten Plaques mit geringem Blooming-Effekt stellten die Wissenschaftler/-innen dagegen keine wesentlichen Vorteile der ultrahohen Auflösung fest.
Untersuchung auch am künstlichen Gefäßmodell
„Wir haben in unserer Studie die Auswirkung der PCD-CT auch an einem künstlichen Gefäßmodell untersucht. Das Modell simulierte ein Gefäß mit verkalkten Ablagerungen, die einem Stenosegrad von 25 und 50 Prozent entsprachen. Auch hier zeigte sich der Vorteil der ultrahohen räumlichen Auflösung. Die Rekonstruktion der Scans mit der ultrahohen Auflösung wich nur rund zwei bis drei Prozent vom Modellwert ab. Mit der Standardauflösung waren es rund 10 Prozent Abweichung“, erläutert Dr. Moritz Halfmann, Erstautor der Publikation und Assistenzarzt in der Klinik und Poliklinik für diagnostische und interventionelle Radiologie der Universitätsmedizin Mainz.
Validierung der Ergebnisse nötig
„Die innovative CT-Methode zeigt in unserer Studie ein deutliches Potenzial einen weiteren Schritt Richtung optimierter und patientenzentrierter Diagnostik und Behandlung der koronaren Herzerkrankung zu gehen und die interdisziplinäre Zusammenarbeit zwischen Bildgebungs- und klinisch-kardiologischen Experten zu fördern. Da es sich jedoch bei unserer Untersuchung um eine Simulationsstudie handelt, ist zunächst eine weitere Validierung der Ergebnisse in Vergleichsstudien erforderlich“, betont Professorin Hell, Oberärztin am Zentrum für Kardiologie – Kardiologie I.
Quelle: idw/Unimedizin Mainz
Artikel teilen




