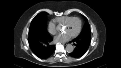
Für die Diagnostik sind sie unverzichtbar: Bildgebende Verfahren in der Medizin. Egal ob bei der Diagnose, Therapie oder Nachuntersuchung, in der Brustkrebsfrüherkennung beispielsweise dominiert die Mammografie mit Röntgenstrahlen. Sie liefert schnelle und präzise zweidimensionale Bilder. Bei der Krebsdiagnose kommt die dreidimensionale Computertomografie (CT) zum Einsatz. Diese kann aufgrund der hohen Röntgenstrahlenbelastung allerdings selbst zu einem Gesundheitsrisiko werden. Während die natürliche jährliche Strahlenexposition bei etwa 2,1 Millisievert liegt, beträgt die Strahlenbelastung eines Brustkorb-CTs etwa das Dreifache. Im Projekt „Multi-Med“, abgeleitet von Multimodale medizinische Bildgebung in 3D, entwickeln Fraunhofer-Forschende nun ein Verfahren, das Röntgen und Radar kombiniert. Es soll die Diagnose, Überwachung und Therapie von Brust- und Lungenkrebs nicht nur verbessern, sondern auch schonender gestalten.
Radar in der Medizin ein Außenseiter
Heute ist Radar in vielen Bereichen etabliert: Flughäfen überwachen mit Radar den Flugverkehr, Autos nutzen Radarsensoren für ihre Assistenzsysteme. Schon 1904 hatte der deutsche Hochfrequenztechniker Christian Hülsmeyer die ersten Versuche zur Ortung mittels Radarwellen durchgeführt. In der Medizin ist das Verfahren bislang aber ein Außenseiter. Dabei kann es ebenfalls dreidimensionale Bilder liefern – ohne gesundheitliche Risiken. Zwar hat Radar eine geringere Auflösung und Durchdringungsfähigkeit im Vergleich zu anderen Verfahren. Dafür liefert es jedoch Materialinformationen, die andere Verfahren nicht direkt bieten können. Radar erkennt Unterschiede in der elektrischen Durchlässigkeit und Leitfähigkeit und kann so Gewebeveränderungen identifizieren. Die Herausforderung besteht darin, die Messwelten beider Verfahren zusammenzuführen. Die Forschenden entwickeln deshalb spezielle Methoden, um die Bilddaten beider Systeme miteinander zu verknüpfen. Diese sogenannte Co-Registrierung setzt die gewonnen Radar- und Röntgendaten zueinander in eine räumliche Beziehung.
Röntgen-CT-Rekonstruktion wird optimiert
Um die Bildqualität weiter zu verbessern und innen liegende Bereiche des Körpers mittels Radar dreidimensional darstellen zu können, arbeiten die Forschenden an neuen Radar-Rekonstruktionsalgorithmen. Sie sollen die Bildqualität erhöhen und die Gewebeeigenschaften besser erfassen. Gleichzeitig soll die Röntgen-CT-Rekonstruktion optimiert werden: Radardaten sollen in die Röntgenrekonstruktion einfließen, sodass ein multimodaler CT-Algorithmus entsteht. Das soll die Qualität und Detailgenauigkeit der CT-Bilder verbessern, störende Artefakte reduzieren und die Strahlenbelastung senken. Das Forscherteam hat bereits erste Messphantome entwickelt, um das Verfahren zu testen.
Gewebeveränderungen frühzeitig und präzise erkennen
Am Ende des dreijährigen Projekts soll ein multimodales Laborsystem stehen. Diese Test- und Entwicklungsumgebung soll dann die Röntgen-CT-Bildgebung mit der Radar-Bildgebung kombinieren für umfassendere und genauere Analysen. „Der neue Ansatz hat das Potenzial, Gewebeveränderungen frühzeitig und präzise zu erkennen – und das deutlich schonender als bisher“, betont Projektleiterin Dr. Victoria Heusinger-Heß vom Fraunhofer-Institut für Kurzzeitdynamik, Ernst-Mach-Institut, EMI. Die Fraunhofer-Gesellschaft fördert das dreijährige Forschungsprojekt. Unter der Leitung des Fraunhofer EMI sind die Fraunhofer-Institute für Digitale Medizin MEVIS und für Hochfrequenzphysik und Radartechnik FHR beteiligt.
Quelle: idw/Fraunhofer
Artikel teilen







