Dysplastisch oder proliferativ: Subtypen der chronischen myelomonozytären Leukämie
Zusammenfassung
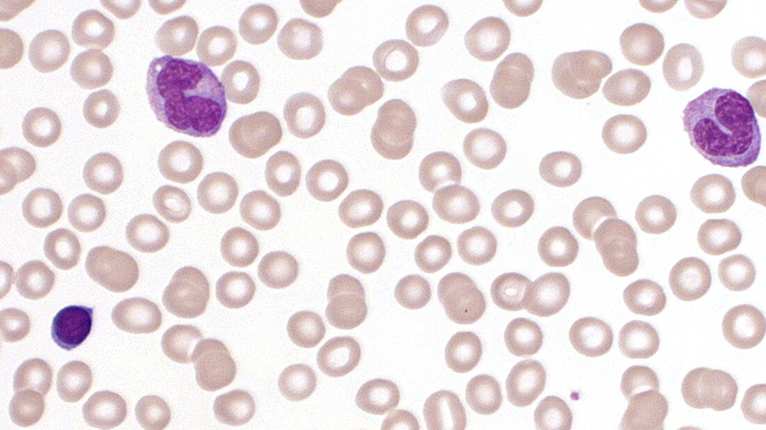
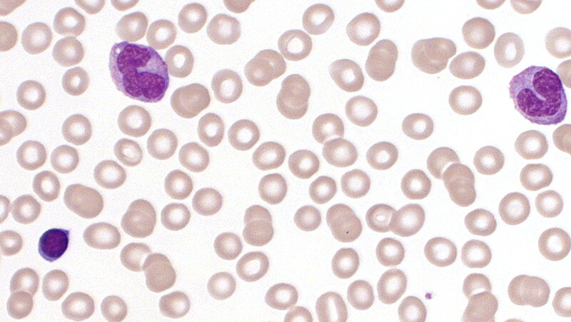
Bei der chronischen myelomonozytären Leukämie des Erwachsenen (CMML) handelt es sich um eine hämatologische Neoplasie, die mit einer Blutmonozytose einhergeht und zugleich myelodysplastische und myeloproliferative Merkmale aufweist. Aufgrund dessen wird die CMML als Myelodysplastische/Myeloproliferative Neoplasie (MDS/MPN) klassifiziert. Klinisch, biologisch und morphologisch finden sich jedoch 2 Ausprägungen der CMML, die sich an der Leukozytenzahl festmachen und deren Unterscheidung prognostische Relevanz aufweist. Anhand der Leukozytenzahl kann die CMML in 2 Subtypen unterteilt werden: Die MP-CMML und MD-CMML (proliferativer und dysplastischer Typ).
Schlüsselwörter: hämatologische Neoplasie, CMML, Monozytose, Myelodysplastische/Myeloproliferative Neoplasie, MP-CMML, MD-CMML, myeloproliferativ, myelodysplastisch
Abstract
Adult chronic myelomonocytic leukemia (CMML) is a hematological neoplasm that is associated with blood monocytosis and has myelodysplastic and myeloproliferative features. Because of this, CMML is classified as Myelodysplastic/myeloproliferative neoplasia. However, there are two clinical, biological and morphological manifestations of CMML, which are determined by the leukocyte count and whose differentiation has prognostic relevance. Based on the leukocyte count, CMML can be divided into two subtypes: MP-CMML and MD-CMML (proliferative and dysplastic type).
Keywords: hematologic neoplasia, CMML, monocytosis, myelodysplastic/myeloproliferative neoplasia, MP-CMML, MD-CMML, myeloproliferative, myelodysplastic
DOI: 10.53180/MTIMDIALOG.2025.0162
Entnommen aus MT im Dialog 3/2025
Dann nutzen Sie jetzt unser Probe-Abonnement mit 3 Ausgaben zum Kennenlernpreis von € 19,90.
Jetzt Abonnent werden



