Morphologische Bandbreite der Monozyten im Blutausstrich
Zusammenfassung
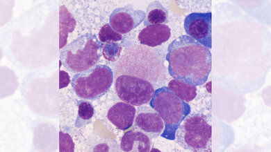
Monozytosen sind ein häufiger hämatologischer Laborbefund und meist Folge eines reaktiven Geschehens. In vielen Fällen muss jedoch eine morphologische Abklärung im Blutausstrich erfolgen, um seltene hämatologische Neoplasien herauszufiltern, die eine hämatologische Spezialdiagnostik benötigen. Hierzu zählen die chronisch myelomonozytären Leukämien (CMML) und die akuten myeloischen Leukämien (AML) mit monozytärer Differenzierung (FAB-Typen M4/M5). Morphologisch zeigen sich dann im Blutausstrich pathologische Zellbilder mit unreifen oder atypischen Monozyten bis hin zu Vorläuferzellen wie Promonozyten und Monoblasten. Die Kenntnis der unterschiedlichen Monozyten- Subtypen ist daher eine wichtige Voraussetzung für eine qualifizierte Basis-Hämatologie.
Schlüsselwörter: Monozyten, Promonozyten, Monoblasten, Monozytose, chronische myelomonozytäre Leukämie, akute myeloische Leukämie mit monozytärer Differenzierung
Abstract
Monocytoses are a common hematological laboratory finding and usually the result of a reactive event. In many cases, however, a morphological examination of the blood smear must be performed to filter out rare hematological neoplasms that require special hematological diagnostics. These include chronic myelomonocytic leukemias (CMML) and acute myelogenous leukemias (AML) with monocytic differentiation (FAB types M4/M5). Morphologically, the blood smear then shows pathological cell appearances with immature or atypical monocytes through to precursors such as promonocytes and monoblasts. Knowledge of the different monocyte subtypes is therefore an important prerequisite for a qualified basic hematology.
Keywords: monocytes, promonocytes, monoblasts, monocytosis, chronic myelomonocytic leukemia, acute myeloid leukemia with monocytic differentiation
DOI: 10.53180/MTIMDIALOG.2024.0272
Entnommen aus MT im Dialog 4/2024
Dann nutzen Sie jetzt unser Probe-Abonnement mit 3 Ausgaben zum Kennenlernpreis von € 19,90.
Jetzt Abonnent werden






