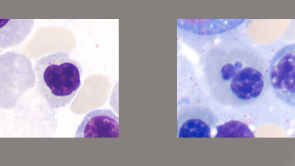
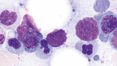
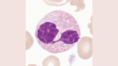
Auch zahlreiche nicht maligne Erkrankungen können eine Dysplasie der roten Reihe hervorrufen [7] (vgl. MTA Dialog 10/2020, Dysplastische Veränderungen der Hämatopoese, Teil 1). Meistens besteht zusätzlich eine hyporegenerative Anämie mit ineffizienter Erythropoese und erniedrigten Retikulozytenzahlen. Eine mit Dysplasie einhergehende Bildungsstörung der Erythropoese wird als Dyserythropoese bezeichnet. Die diagnostische Herausforderung besteht in der zytologischen Erkennung und Quantifizierung der Dysplasie sowie in der Zuordnung zu einem definierten Krankheitsbild. Für die zuverlässige zytologische Diagnostik einer Dysplasie ist die Anwendung standardisierter Kriterien von essenzieller Bedeutung. So sind in der WHO-Klassifikation 2016 [7] Dysplasiemerkmale, die eine Assoziation zu hämatologischen Neoplasien aufweisen, aufgeführt und spezifiziert. Darüber hinaus stehen Konsensus-Richtlinien zur Bewertung der Morphologie der Erythroblasten der International Working Group on Morphology of Myelodysplastic syndroms (IWGM-MDS) zur Verfügung [4].
In diesem Beitrag werden unter Berücksichtigung dieser Standards die relevanten Dysplasien der Erythropoese sowohl bildlich als auch in erklärender Textform dargestellt.
DOI: 10.3238/MTADIALOG.2021.0272
Entnommen aus MTA Dialog 4/2021
Dann nutzen Sie jetzt unser Probe-Abonnement mit 3 Ausgaben zum Kennenlernpreis von € 19,90.
Jetzt Abonnent werden


