Mitunter lassen sich charakteristische Veränderungen an den Granulozyten und gegebenenfalls weiteren hämatopoetischen Zellvertretern im Pappenheim-gefärbten Blutausstrich erkennen, anhand derer bereits eine Verdachtsdiagnose auf die jeweilige Anomalie gestellt werden kann. Dazu ist die qualifizierte mikroskopische Beurteilung des Blutausstrichs von Bedeutung. Nachfolgend werden einige morphologisch eindrückliche Beispiele dargestellt.
Pelger-Huët-Anomalie (PHA)
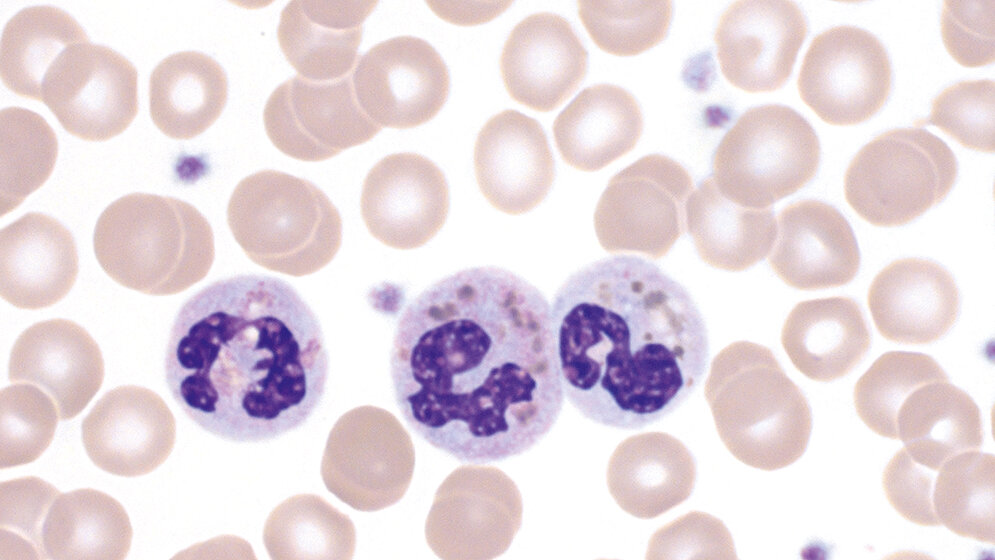
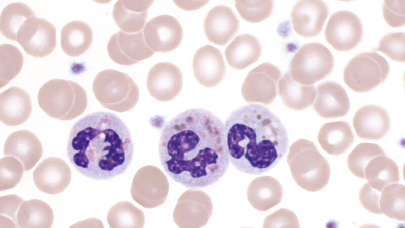
Die autosomal vererbbare PHA (vgl. „Pseudo-Pelger-Zellen“, MTA Dialog, Heft 10/2013) geht mit einer gestörten Kernsegmentierung einher [1]. Heterozygote Merkmalsträger zeigen überwiegend Neutrophile, die über nur 2 Kernsegmente verfügen (bisegmentiert). Die Kerne erscheinen oftmals brillenartig mit runder Form, aber auch hantel- oder erdnussförmige Kerne werden beschrieben. Das Kernchromatin wirkt zudem dichter als gewöhnlich. Ein kleiner Teil unsegmentierter, rundkerniger Granulozyten (< 4 %) kann ebenfalls vorkommen (Abbildungen 1–3). Homozygote Merkmalsträger zeigen im Blutausstrich ausschließlich unsegmentierte Kerne, rund bis oval mit verdichtetem, verklumptem Kernchromatin. In der mikroskopischen Blutbilddifferenzierung ist es wichtig, die Pelger-Zellen den Segmentkernigen zuzuordnen und mit einem entsprechenden Textkommentar zu versehen. Eine Erfassung der Zellen als Stabkernige, Metamyelozyten oder Myelozyten würde eine Fehlinterpretation des Befundes im Sinne einer Linksverschiebung bedeuten. Die PHA besitzt keinen krankheiterzeugenden Effekt. Es handelt sich lediglich um eine Formvariante ohne Funktionseinschränkung. Werden bi- oder unsegmentierte Neutrophile im Ausstrich in geringer Zahl angetroffen und/oder zusätzliche Auffälligkeiten der Neutrophilen nachgewiesen, handelt es sich am ehesten um sogenannte Pseudo-Pelger-Zellen, ein häufiges Phänomen bei reaktiven Veränderungen (vergleiche „Granulopoese Teil 2“, MTA Dialog, Heft 5/2018) oder bei einer Myelodysplasie.
DOI: 10.3238/MTADIALOG.2018.0654
Entnommen aus MTA Dialog 8/2018
Dann nutzen Sie jetzt unser Probe-Abonnement mit 3 Ausgaben zum Kennenlernpreis von € 19,90.
Jetzt Abonnent werden


