Zusammenfassung
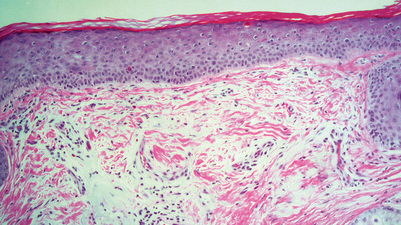
Die Haut ist das größte und schwerste Organ des Menschen, das Grenzorgan zur Umwelt und ein Immun-, Entgiftungs- und Speicherorgan. Erkrankungen der Haut sind häufig und vielfältig und reichen von harmlosen Krankheiten bis hin zu Tumoren. Fast jeder Mensch leidet einmal in seinem Leben unter einer Hautkrankheit. Die häufigsten malignen Tumoren der Haut sind das Basaliom, das Plattenepithelkarzinom und das Melanom, wobei das maligne Melanom der bösartigste Tumor der Haut ist. Bei der Differenzialdiagnose ist die Immunhistochemie eine entscheidende Methode, die verschiedenen benignen und malignen Tumoren der Haut zu unterscheiden und genau einzuordnen.
Schlüsselwörter: Haut, Basaliom, Melanom, Differenzialdiagnose, Immunhistochemie, Plattenepithelkarzinom
Abstract
The skin is the heaviest and biggest human organ and the border to the environment. It is also an immune, detoxification and stor-age organ. Skin diseases are often and diverse. They range from benign diseases to tumors. Almost everyone suffers from a skin disease once in his life. Basal cell carcinoma, squamous cell carcinoma and melanoma are the most common malignant tumors of the skin. The most malignant tumor of the skin is the malignant melanoma. The immunhistochemistry is in the differential diagnosis a decisive method to differentiate and exactly classify the vari-ous benign and malignant tumors of the skin.
Keywords: Skin, basal cell carcinoma, melanoma, differential diagnosis, immunohistochemistry, squamous cell carcinoma
DOI: 10.3238/MTADIALOG.2019.0008
Entnommen aus MTA Dialog 1/2019
Dann nutzen Sie jetzt unser Probe-Abonnement mit 3 Ausgaben zum Kennenlernpreis von € 19,90.
Jetzt Abonnent werden





