Anomalien und Normvarianten – Skelettale Veränderungen 3.23
Zusammenfassung
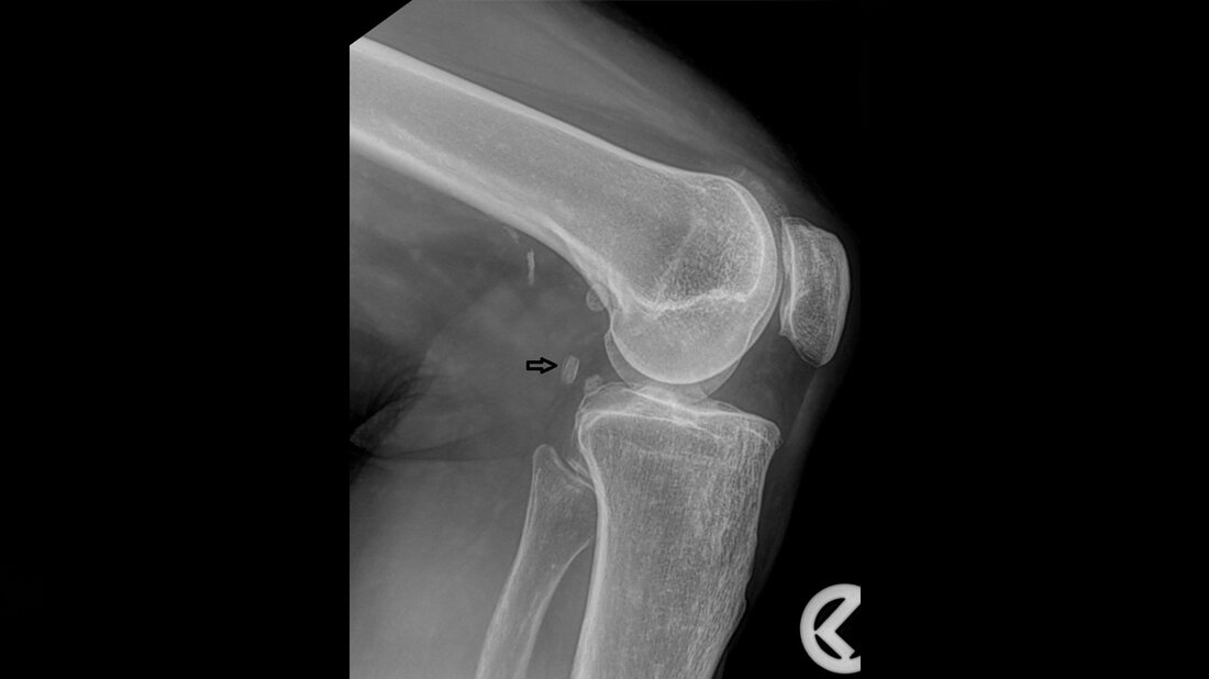
Die Fabella ist ein Sesambein im lateralen Kopf des M. gastrocnemius. Es kommt bei etwa 10 bis 30 % der Bevölkerung vor und kann das Fabella-Schmerz-Syndrom oder auch eine Lähmung des N. fibularis communis auslösen.
Schlüsselwörter: Fabella, Röntgen, CT, MRT
Abstract
The Fabella is a sesamoid bone that is embedded in the lateral head of the gastrocnemius muscle. It is present in approximately 10 to 30 % of the general population. It can lead to various pathologies such as fabella pain syndrome and common fibular nerve palsy.
Keywords: fabella, x-ray, CT, MRI
DOI: 10.3238/MTADIALOG.2022.0034
Entnommen aus MTA Dialog 1/2022
Dann nutzen Sie jetzt unser Probe-Abonnement mit 3 Ausgaben zum Kennenlernpreis von € 19,90.
Jetzt Abonnent werden





