Premium
Bildgebende Verfahren
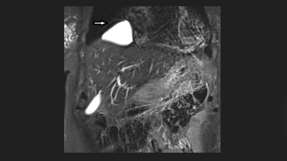
Anomalien und Normvarianten: Interne Veränderungen 2.15 – Perikardzyste
Perikardzysten sind selten vorkommende gutartige Raumforderungen, die Inzidenz beträgt etwa 1 : 100.000. An den mediastinalen Tumoren haben sie einen Anteil von circa 7 %. Mehr als 50 % der Perikardzysten sind asymptomatisch, sie können aber auch für Atemnot, retrosternale Schmerzen und Dysphagie verantwortlich sein, abhängig von ihrer Lage und Größe [6]. Spontane Rückbildungen und auch Spontanrupturen wurden beschrieben.
Zusammenfassung
Perikardzysten und auch parasitäre Zysten des Herzens sind selten. Perikardzysten zeigen im CT und MRT die typischen Kriterien der einfachen Zysten.
Schlüsselwörter: Perikardzyste, CT, MRT
Abstract
Pericard cysts are rare. Also cardiac hydatid disease is rare. Pericard cysts show in CT and MRI typical criteria of simple cysts.
Keywords: Pericard cyst, CT, MRI
DOI: 10.53180/MTADIALOG.2022.0800
Entnommen aus MTA Dialog 10/2022
Sie möchten die Zeitschrift abonnieren und auf alle Inhalte zugreifen?
Dann nutzen Sie jetzt unser Probe-Abonnement mit 3 Ausgaben zum Kennenlernpreis von € 19,90.
Jetzt Abonnent werden






