Anomalien und Normvarianten – Zerebrale Diagnostik 1.8: Varianz der Virchow-Robin-Räume
Zusammenfassung
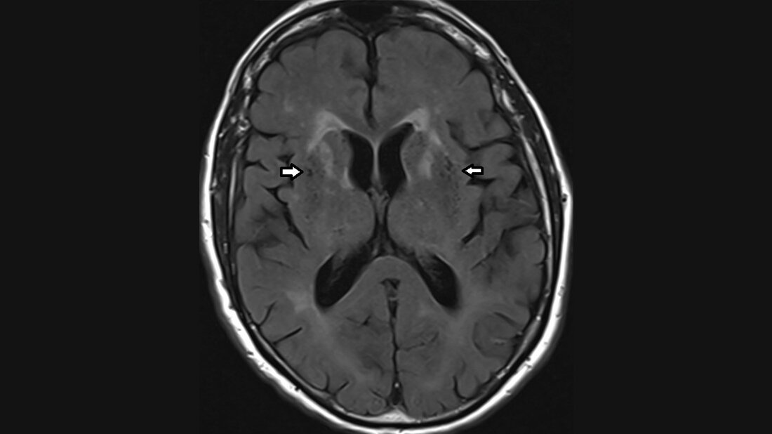
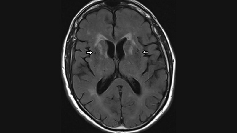
Die Virchow-Robin-Räume (VRR) sind die Erweiterung des Subarachnoidalraums, die die penetrierenden Arterien auf dem Weg zu den Basalganglien oder der grauen Substanz der Großhirnkonvexität umgeben. Kleine VRR werden in jedem Alter gefunden. Mit zunehmendem Alter nehmen die Anzahl und Größe zu. Die perivaskulären Räume wurden vor etwa 150 Jahren identifiziert.
Schlüsselwörter: Virchow-Robin-Räume, CT, MRT
Abstract
Perivascular spaces (PVS) or Virchow-Robin’s spaces are piallined extensions of the subarachnoidal space that surround penetrating arteries as they enter either the basal ganglia or the cortical gray matter over the high convexities. Small PVS are found in patients of all ages. They increase in size and frequency with advanting age. Perivascular spaces were first identified over 150 years ago.
Keywords: Virchow-Robin’s space, CT, MRI
DOI: 10.53180/MTIMDIALOG.2024.0022
Entnommen aus MT im Dialog 1/2024
Dann nutzen Sie jetzt unser Probe-Abonnement mit 3 Ausgaben zum Kennenlernpreis von € 19,90.
Jetzt Abonnent werden






