Fachbeiträge

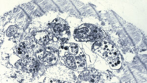
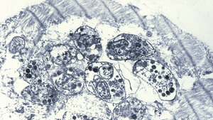
Mikrobiologie

Credit Tests

Sammeln Sie Fortbildungs-Credits und punkten Sie mit dem freiwilligen Fortbildungszertifikat bei Vorgesetzten und (zukünftigen) Arbeitgebern.

Headerbild_Website_Stimmen_aus_der_Praxis_MT
MT im Dialog - Stimmen aus der Praxis
Der Podcast für Medizinische Technologinnen und Technologen
Jetzt reinhören!
Fotolia_90998727_S
Werden Sie jetzt Autor für die MT im Dialog. Alle weiteren Informationen finden Sie in unseren Autorenhinweisen.
Zu den Autorenhinweisen
epaper
Für zu Hause oder unterwegs -
alle Ausgaben der MT im Dialog stehen Ihnen auch als ePaper zur Verfügung.
zu den ePapern